Top Story
Latest News
PET/CT visualizes complications in patients on hemodialysis
February 18, 2026
Zonal segmentation with AI shows promise in prostate cancer
February 17, 2026
MRI safety panel unveils findings on patient death
February 13, 2026
Cases of the Week
Check out our Cases of the Week!
More from AuntMinnieEurope
ESR highlights partnership with GE HealthCare
February 19, 2026
Study: Inner-ear MRI position may cause artifacts, vertigo
February 18, 2026
Eckert & Ziegler, Czech facility increase Ac-225 production
February 18, 2026
Guerbet to celebrate 100-year anniversary at ECR 2026
February 18, 2026
Launch of lung cancer screening alliance goes ahead
February 18, 2026
Fujifilm to collaborate with Amazon at ECR 2026
February 13, 2026
Can AI save radiologists from burnout?
February 13, 2026
RCR releases latest data on workforce
February 13, 2026
SERAM seeks to address gender gap in research
February 13, 2026
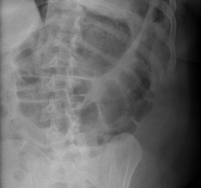
Abdominal pain? Consider fishbones
February 13, 2026
Christiane Kuhl endorses DRG's new women’s health campaign
February 13, 2026
Bracco launches ACIST Pro in Europe
February 13, 2026



















