Clinical News
Informatics
Industry News
Medical, Legal, And Practice
Education
Subspecialties
More
Sign In
CT
Digital X-Ray
Interventional
Molecular Imaging
MRI
Radiation Oncology/Therapy
Ultrasound
Womens Imaging
Womens Imaging
What's the link between assisted reproduction and breast cancer?
By
Maryam Payne
There's an urgent need to assess the link between assisted reproductive technologies and breast cancer risk, researchers said at the European Society of Breast Imaging annual congress.
October 10, 2025
EANM's 2025 tech guide focuses on women's health
By
AuntMinnieEurope.com staff writers
The European Association of Nuclear Medicine (EANM) is emphasizing women's health in its 2025 tech guide for radiographers and other professionals.
October 10, 2025
Missed previous mammography screening linked to worse disease outcomes
By
Amerigo Allegretto
Researchers in Sweden have found that women who did not attend their previous screening had larger tumors and poorer disease-specific survival.
October 8, 2025
Momentum builds for MRI staging of cervical cancer
By
Maryam Payne
When it comes to preoperative staging of cervical cancer, now's the time to shift from cystoscopy to MRI, Italian researchers have asserted.
October 7, 2025
PET/CT links metabolic activity to aggressive endometrial cancer
By
AuntMinnieEurope.com staff writers
Aggressive endometrial cancer may drive the high metabolic activity of visceral fat, Norwegian researchers reported in Barcelona at the 40th anniversary meeting of the European Association of Nuclear Medicine.
October 5, 2025
Italian groups stress benefits of breast screening
By
AuntMinnieEurope.com staff writers
In the Piedmont region, only 53% of women regularly participate in breast cancer screening. A three-day event sought to improve the situation.
October 3, 2025
Women who skip first mammogram more likely to die of breast cancer
By
Amerigo Allegretto
Women who do not participate in their first breast cancer screening are 40% more likely to die later from the disease, according to a study in the
BMJ
.
September 29, 2025
EUSOBI 2025 studies focus on transgender breast care
By
AuntMinnieEurope.com staff writers
At the European Society of Breast Imaging (EUSOBI) congress in Aberdeen, U.K., studies from Latvia and Argentina addressed breast care for transgender patients.
September 29, 2025
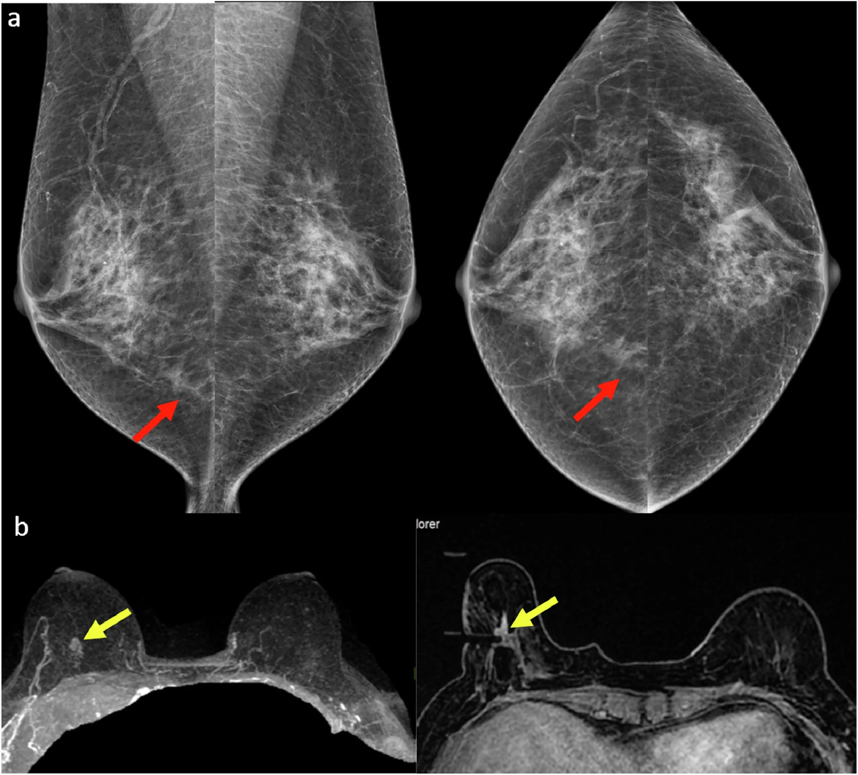
DBT plus synthesized mammo leads to fewer false-positive recalls
By
Amerigo Allegretto
A German study has found that digital breast tomosynthesis (DBT) plus synthesized mammography leads to lower false-positive recall rates than digital mammography.
September 22, 2025
Dutch authors cast light on uterine fibroids
By
Maryam Payne
Researchers have shared their clinical experiences of how ultrasound and MRI can assess blood flow and vasculature in uterine fibroids.
September 19, 2025
EU-funded BreastSCan project gets underway
By
AuntMinnieEurope.com staff writers
The European Institute for Biomedical Imaging Research has begun curating a large-scale dataset of breast images to facilitate AI development and testing.
September 15, 2025
Lunit receives boost to expand breast AI in France
By
AuntMinnieEurope.com staff writers
Lunit's breast imaging AI software can now be used in over 1,500 public hospitals in France under a new national tender.
September 12, 2025
Page 1 of 172
Next Page