Dear AuntMinnieEurope CT Insider,
When it comes to challenging cases involving facial trauma, CT rules supreme. That’s the view of researchers from San Sebastián in Spain who won a top award at ECR 2025 for their work in this area.
In today’s top story, you can read about the team’s approach and how it obtained the stunning set of clinical images on display at the Vienna congress.
A second Spanish group gave an impressive presentation at ECR about orbital findings that tend to be overlooked. It received a cum laude for its exhibit.
In other news, the findings of a study of global significance were published earlier this week. Investigators from the University of California, San Francisco reported in JAMA Internal Medicine that cancers associated with radiation from CT scans could eventually account for 5% of all new cases annually.
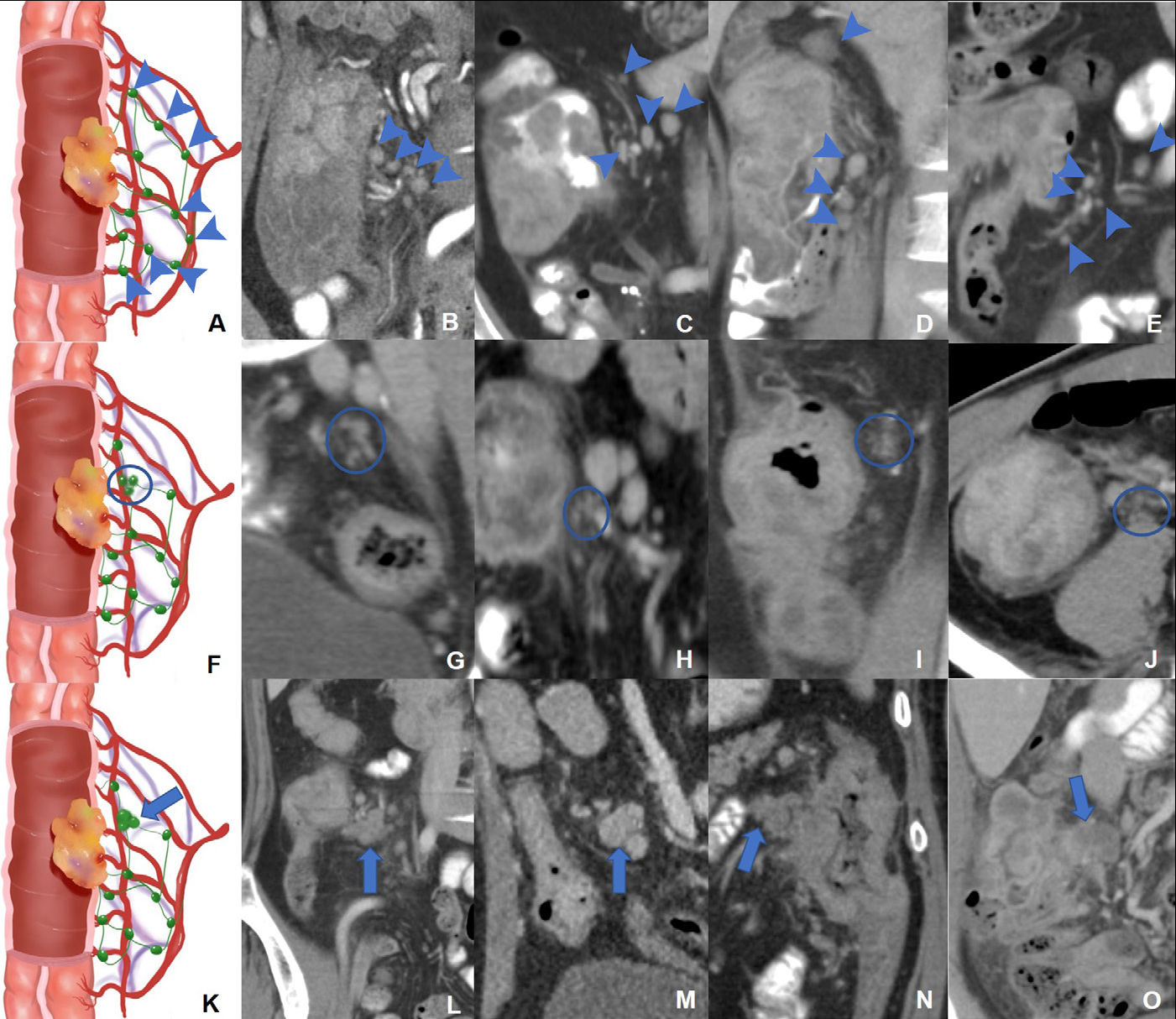
Meanwhile, researchers from China have developed a novel method to improve lymph node staging in colon cancer, offering potential benefits for tailored treatment and better patient outcomes.
Support for CT screening of lung cancer among European radiologists seems to have grown steadily over recent years, but skepticism appears to remain among some other groups of healthcare professionals. Against this background, leading Spanish and Dutch public health specialists have tried to present an unbiased assessment of the pros and cons of screening.
This newsletter has highlighted only a few of the many CT articles we’ve posted during the past few weeks. For the full list, go to the CT content area.
Philip Ward
Editor in Chief
AuntMinnieEurope.com



















