Dear AuntMinnieEurope Member,
There's still considerable scope to improve the accuracy and contents of radiology reports, it seems. A CT audit presented at this week's U.K. Radiological Congress (UKRC) showed that some reports lack a conclusion and don't contain sufficient details about examinations. Also, requests from referring clinicians often fail to provide a clinical question for the report to answer.
Radiology reports have medicolegal implications, so they must be clear and precise. Read more in our CT Digital Community or by clicking here.
In other news, important changes to the EU's radiation protection rules are being planned. The European Commission has published its proposals, and the consultation process is now under way. Get the story here.
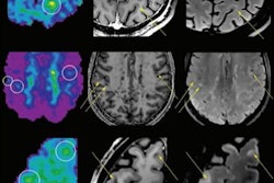
French researchers appear to have unearthed a significant discovery in the imaging of multiple sclerosis patients. They have found that lesions enhanced by two contrast agents -- gadolinium and ultrasmall superparamagnetic iron oxide particles -- were larger and exhibited a more aggressive evolution than lesions that were visible with only one contrast agent. Go to our MRI Digital Community, or click here.
This is a busy time for healthcare informatics professionals. The Computer Assisted Radiology and Surgery (CARS) congress begins today in Pisa, Italy, and we will have some news reports from the meeting over the next few days. Last weekend, the German health IT community met at a castle near Mainz at the DICOM KIS RIS PACS meeting. Get the story here.
European speakers played an important role at the International Society for Computed Tomography (ISCT) meeting, held in San Francisco last week. Three of our editors were there, including staff writer Rebekah Moan, and you can read her report here.
PET/CT is finding increasing applications in melanoma patients. Researchers in Vienna have used the technique to scan those with proven cutaneous melanoma, and they've published their results online in European Radiology. Visit our Molecular Imaging Community, or click here.



















