
Researchers using diffusion-tensor MRI (DTI-MRI) have found that high blood pressure can damage nerve tracts that connect different parts of the brain, according to a study presented this week at the American Heart Association's (AHA) 2015 Hypertension Scientific Sessions in Washington, DC.
Italian researchers used DTI-MRI to reconstruct white-matter connections that correlate with specific cognitive functions to determine if damage to the connections might be a precursor to the development of dementia through vascular disease. In subjects with hypertension, they detected changes in nerve, limbic system, and other fibers that affect nonverbal functions, attention to tasks, executive function, and emotional regulation.
"Nowadays, one of the most demanding challenges in medicine is preserving cognitive functions during aging," senior author and presenter Daniela Carnevale, PhD, an assistant professor at Sapienza University of Rome, wrote in an email to AuntMinnie.com. "Although we have clear clinical paradigms to explore target organ damage of vascular diseases like hypertension, we are less prepared to afford the brain damage that may result from chronic vascular diseases and their impact on cognitive functions."
Cardiovascular factors and dementia
While it is well-known that high blood pressure can damage the kidneys, eyes, and heart, and that cardiovascular risk factors can profoundly affect the chance of developing dementia, there has been no way to investigate these connections in patients with cardiovascular disease.
"We aimed at finding a diagnostic paradigm to assess brain damage that could predict future development of dementia," Carnevale said. "Since it is becoming increasingly clear that hypertension may determine cognitive decline, even before it manifests as neurodegeneration, we elaborated a paradigm of analysis that is essentially focused on brain imaging and cognitive assessment."
The researchers enrolled 15 people on medication for moderate to severe high blood pressure and 15 individuals with normal blood pressure. The subjects received conventional MRI, T1-weighted and T2-weighted imaging, and DTI scans.
DTI-MRI measures the movement of water molecules in tissue and white-matter brain regions through fractional anisotropy to determine disruptions in flow. The lower the fractional anisotropy value, the more likely there is a microstructural abnormality.
DTI-MRI also allows researchers to reconstruct the main connections between different brain regions.
"Once we identify those tracts, we can estimate the quality of those connections, exploiting parameters obtained by the study of water diffusion," Carnevale explained. "With classic MRI, we only have information on the global structural integrity of white matter. Through this [DTI], we can isolate specific tracts and evaluate not only their structure, but also their functionality."
The subjects were also given a series of tests to measure attention and cognition, including the Montreal Cognitive Assessment (MoCA) and the Stroop Color and Word Test.
In analyzing the MRI results, the researchers found no abnormal signal intensity among the subjects on T1-weighted and T2-weighted scans. However, DTI measured significantly reduced levels of fractional anisotropy in the high blood pressure group compared to the healthy controls.
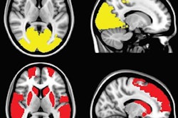
More specifically, the group with high blood pressure showed lower fractional anisotropy values in brain fibers in the anterior thalamus, affecting nonverbal skills; nerve fibers in the superior longitudinal fasciculus, which are involved with executive function and regulating emotions; and limbic system fibers of the cingulate gyrus, which are associated with attention tasks.
DTI-MRI illustrates the main tracts affected by hypertension. Reconstruction shows lower fractional anisotropy levels in regions including the anterior thalamic radiations, superior longitudinal fasciculus, and cingulate gyrus, resulting in significant deterioration in hypertensive patients. Image courtesy of Daniela Carnevale, PhD.And, if that wasn't enough, MRI scans also confirmed damage to the heart and kidneys among members of the high blood pressure group.
Subjects with high blood pressure also performed significantly worse on the MoCA and Stroop tests than the controls (22.66 ± 0.97 vs. 26.21 ± 0.57 for MoCA; 34.50 ± 3.87 vs. 17.75 ± 2.57 for Stroop; p < 0.01).
Interestingly, the high blood pressure cohort achieved normal performances on tests for verbal fluency and performing daily living activities, indicating a selective impairment of memory, according to the researchers.
Clinical benefits
Based on the results, Carnevale and colleagues recommend DTI-MRI as a way to evaluate presymptomatic brain damage in people with high blood pressure and to identify possible treatment to help reduce their potential for dementia.
"The most challenging aspect of this technique is data reconstruction and analysis, together with cognitive assessment and clinical evaluations, implying the need for a multidisciplinary team that includes clinicians, biologists, informatics engineers, and radiologists," Carnevale added.
The primary clinical goal, she said, is to find an adequate treatment regimen for people at risk of developing cognitive dysfunction.
"It is conceivable that the brain may need a specific therapeutic regimen and that different medications with different mechanisms of action could have different impacts on cognitive function in hypertensive patients," she said. "Moreover, we think that by defining this diagnostic paradigm, patients could benefit from a periodic control of brain damage. This is already routinely applied for other organs damaged by hypertension."
The group plans to continue the research and build upon the current study's results.
"We are at the beginning, and we believe that many other questions could be answered by this in order to ameliorate the approach to patients with vascular cognitive impairment," Carnevale said.


















