
Injuries resulting from a leg being trapped in bicycle spokes are surprisingly common, particularly in children, but no guideline or protocol defines what type of radiography can diagnose or rule out a fracture. Dutch researchers have now acted to fill this knowledge gap.
Children sitting on the rear of a bicycle, without proper safety precautions, are particularly prone to this type of injury, which occurs most often in children under the age of 14, with a peak incidence between 2 and 6 years of age. In more than 30% of the cases, a fracture may be apparent on radiographs, and in almost all patients the fracture is located at the distal tibia or fibula, noted radiology resident Annelie Slaar, earning her PhD, and colleagues from the Academic Medical Center at the University of Amsterdam.
"We suggest that in children with a clinical suspicion of a fracture at the ankle region, in which no fracture is seen at the radiograph of the ankle, no additional radiographs are necessary," they stated in an article published online by the European Journal of Radiology on 28 July. "Only in children clinically suspected of a fracture outside the ankle region, a dedicated radiograph of that region should be considered."
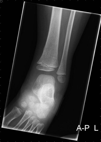
Radiographs of a 4-year-old boy with bicycle spoke wheel injury. Images courtesy of Annelie Slaar.Key study findings
The researchers sought to evaluate the type of radiographs that are obtained in children with bicycle spoke injuries, to assess in which anatomical regions fractures occur, and to evaluate on which radiographs a fracture can be detected in children with spoke injuries. Their retrospective cohort study was conducted between June 2008 and December 2013.
In 99 of the 320 children (31.4%) evaluated with radiography following a bicycle spoke injury, a fracture was diagnosed.
In almost two-thirds of the patients (63%), radiography of two or more anatomical regions was performed. In 98 children (99%), the fracture was located at the distal tibia or fibula. All fractures were diagnosed on a radiograph of the ankle or lower leg (including the ankle region). No fractures of the foot were diagnosed.
Three typical characteristics of these injuries are soft-tissue laceration due to the knife-like trauma mechanism of entrapment between the spokes, crush injuries due to impingement between the wheel and frame of the bicycle, and shearing injuries from the coefficient of the forces. Consequently, the most common diagnoses are lacerations of the skin, ankle sprains, and fractures of the distal tibia and/or fibula; reported fracture percentages vary between 8.7% and 31%, according to Slaar et al.
In the current study, all radiographs of the ankle, lower leg, and/or foot performed at the emergency department in all consecutive children ages 0-18 were screened in the radiology department database (Impax version 6.5.2, Agfa HealthCare). To prevent missing cases, electronic patient files of all children that were presented at the emergency department with the diagnosis wound, contusion, and distortion of the foot or ankle were screened to assess if the trauma mechanism was bicycle spoke injury.
The radiographs were anonymized using software from the Academic Medical Center in Amsterdam (dcm2nn-gui, version 1.1.4). All radiographs were independently reviewed for the presence of a fracture by two radiologists with more than 10 years of experience in pediatric or trauma radiology. Discrepancies in diagnosis were resolved in consensus reading.
Data on fractures
There were 158 (49.4%) male patients with a mean age of 4.2 years (SD, 1.8). A total of 99 patients had a fracture, of which 48 patients were male. The peak incidence of both a bicycle spoke injury and a fracture was at 4 years of age. In all patients with a fracture, in whom a radiograph of the ankle and the lower leg was obtained, the fracture was visible on both the radiograph of the ankle and the lower leg.
In 115 patients (37%), a radiograph of solely one region of the lower extremity was performed, while in the other 200 children (63%) radiographic imaging of two or more regions was performed; e.g., a radiograph of the ankle and the lower leg, (including the ankle region), or a radiograph of the foot and the lower leg (including the ankle region).
In 65 children (21%), radiographs of all three regions of the lower extremity (ankle, lower leg, and foot) were obtained separately. A radiograph of the foot was obtained in 176 patients, whether or not in combination with a radiograph of the ankle and/or lower leg. Discrepancy between both radiologists for the presence of a fracture was seen in 10 patients, all of whom were suspected for a SH-1 fracture of the distal fibula. After consensus reading, six patients were diagnosed with a SH-1 fracture, and in four patients no fracture was diagnosed.
"All fractures were diagnosed with a radiograph of the ankle or the lower leg, which depicted the ankle region. Therefore, we suggest that in children with a clinical suspicion of a fracture at the ankle region, in which no fracture is seen at radiography of the ankle, no additional radiographs are necessary," the authors wrote. "Only in children clinically suspected of a fracture outside the ankle region, a dedicated radiograph of that region should be considered."
Future studies should evaluate the amount of radiographs that are avoided if only a radiograph of the ankle is being performed in children with bicycle spoke injury, they concluded.



















