
Get to know the wide range of traumatic injuries related to the extreme sport of downhill biking that often require a multimodality imaging approach in the emergency setting. That's the advice of Italian researchers who've shared their clinical experiences of this area.
"Downhill mountain biking can be considered a high-risk sport," noted Dr. Raffaella Colantonio and colleagues from Santa Chiara's Hospital in Trento. "With the increasing popularity, there has also been a corresponding increase in injury, often multisystemic. Some are severe."
In the last decade, this activity has expanded worldwide at both recreational and competitive levels for individuals of all ages, particularly young men, especially in mountainous areas where ski lifts are used to access downhill trails, they explained at ECR 2023 in Vienna.

"Mountain biking accidents can lead to a wide variety of injuries involving the head and face, neck, spine and spinal cord, upper and lower extremities, chest, abdomen, and genitourinary system," they wrote, adding that Santa Chiara's has become the treatment hub for trauma patients in the autonomous province of Trentino.
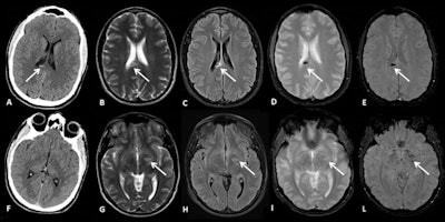
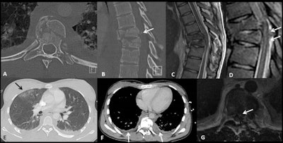
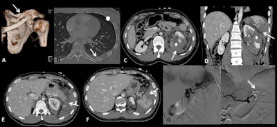
Most injuries are minor (e.g., skin abrasions and contusions) or moderate (e.g., bone fractures), and the commonly injured body parts are lower leg and forearm, they continued. Serious injuries -- including brain concussion with hemorrhage, vertebral fractures with or without spinal cord injury, internal organ damage, and bleeding -- are also possible.
The aim of the sport is to go quickly down the mountain, usually on narrow tracks with slippery and uneven surfaces consisting of rocks, mud, dirt, and tree roots. It involves speeds of up to 70 km/h and bold maneuvers to avoid obstacles, turns, and jumps. The bikes are designed to provide the best possible traction and suspension, with the rider in a more upright position, and bike frames are also stronger and heavier (between 15 to 20 kg) than other mountain bikes.
Selecting the best modality
The choice of imaging modality in the emergency setting is mainly based on the presenting condition of the injured biker and the mechanism of injury, following general guidelines of trauma care, the authors noted.
"Patients with high-energy trauma and a high risk of multisystemic involvement should generally be managed as polytrauma patients, and multidetector CT is currently the imaging technique of choice," they wrote. "MRI has a fundamental role in the evaluation of severe spine injuries before neurosurgical intervention and is the modality of choice for assessing the real extent of brain damage after severe head trauma."

Angiography with embolization has a pivotal role in the treatment of vascular and parenchymal injuries, they pointed out. "Radiography is the first-line tool in the evaluation of a bony injury of the upper and lower extremities. Ultrasound still has an important role in minor blunt abdominal trauma, particularly in the pediatric population due to the absence of ionizing radiation."
Causes of injury typically are multifactorial, with rider-related, terrain-related, and bicycle-related factors that variably contribute to the outcome.
Types of injury
Falling forward over the handlebars is the most frequent mechanism in downhill biking and is associated with the most serious injuries, especially to the head and neck. Falling onto the top of the head may result in a flexion injury, while a fall onto the face can result in hyperextension. Falls are associated with a variety of factors -- e.g., hitting a bump in the trail, landing incorrectly after a jump, or applying excess pressure to the front brake -- with the result of a rapid deceleration while going downhill, according to Colantonio and colleagues.
Falling off the bike to the side tends to result in less severe injuries involving mainly the lower extremities and also the upper extremities when the rider uses a hand to break the fall.
Direct impact due to collision with stationary objects (such as trees or rocks, other bikers, or unexpected hikers on the trails) or with the handlebars may result in a blunt trauma that most commonly involves solid organs of the abdomen.

Injury prevention strategies should focus on improving riders' technique, trail conditions, and protective equipment, they added. The use of protective equipment is of crucial importance, and a full-face helmet -- like those used in motorcycling that include a horizontal bar to protect the lower face -- is probably the most important and nearly universally adopted piece of safety gear for downhill biking.
"Athletes without helmets are at greater risk to sustain fatal head injuries leading to disability or death," the authors pointed out. "A full set of body protections, gloves, and safety glasses are also encouraged. The neck brace is a novel protective equipment to prevent cervical spine injuries."
Looking to the future, the group is now collecting data with a retrospective analysis to better investigate the real frequency of each specific injury pattern in downhill biking injuries.
To view the whole ECR 2023 poster and learn more about the full range of cases, go to the EPOS section of the congress organizers' website.
The co-authors of the ECR e-poster were Drs. Giulia Porretti, Emanuela Baglivo, Francesco Ranieri, Giulia Casagranda, Francesca Paganelli, Umberto Rozzanigo, Benedetto Petralia, and Mauro Ferrari.