
New international research on musculoskeletal trauma of the neck, torso, and extremities resulting from mountain biking has identified the best imaging modality to use in various clinical situations.
Radiography is the first-line tool in the evaluation of bony injury, while CT can add information and is important for detailed assessment of osseous injuries, noted lead researcher Dr. Daichi Hayashi, PhD, research assistant professor of radiology at Boston University School of Medicine, who was previously based at King's College London School of Medicine. Also, ultrasound is useful as an imaging modality for muscle injuries and detection of superficial foreign bodies. MRI is useful when detailed anatomical information is needed for evaluation of soft-tissue injuries, including muscles and joint structures.
"Multimodality imaging helps emergency medicine physicians, sports medicine physicians, and orthopedic surgeons in the clinical management of injured mountain bikers," he reported at RSNA 2015 in Chicago. "Timely and correct diagnosis is paramount, particularly as mountain-bike injuries are commonly severe with a large proportion requiring surgery."
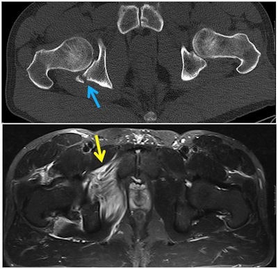
A 40-year-old male mountain biker presented with acute, right-sided hip pain after hitting an unexpected dip while riding a downhill single track in the dark. Axial CT image (top) shows a right posterior acetabular fracture (blue arrow). Axial T2-weighted fat-suppressed MRI (bottom) demonstrates a tear of the right adductor magnus (yellow arrow). All images courtesy of Drs. Daichi Hayashi, PhD, Richard de Villiers, and Shaun Scheepers.Mountain biking is a popular recreational and competitive sport worldwide, but bikers incur serious injuries due to high velocity falls in off-road situations, despite use of protective gear. In their research, Hayashi and his colleagues sought to illustrate the types and mechanisms of musculoskeletal injuries of the neck, torso, and extremities sustained by mountain bikers and to highlight the importance of multimodality imaging, including radiography, CT, MRI, and ultrasound, in clinical management.
"Radiography should initially be performed to diagnose or rule out acute osseous injury, such as fractures and dislocations," they pointed out. "Radiographically occult fractures may be detected using CT or MR imaging, if clinically suspected."
Muscle, tendon, and ligamentous injuries can be initially diagnosed using ultrasound, but for injuries of deep structures or large/extensive lesions, MRI can depict a larger region of interest, with more detailed anatomical information of the type and extent of lesion.
Quoting data from the National Electronic Injury Surveillance System of the U.S. Consumer Product Safety Commission for patients ages 8 year or older from 1994 through 2007, Hayashi et al stated more than 217,000 patients were treated for mountain-bike-related injuries in U.S. emergency departments from 1994 to 2007, an average of around 15,500 injuries per year.
The most common injuries were upper extremity fractures (10.6%) and shoulder fractures (8.3%). Patients between the ages of 14 and 19 sustained a greater proportion of traumatic brain injuries (8.4%) than did patients between the ages of 8 and 13, and ≥ 20 years combined (4.3%). In the study, a greater proportion of female riders (6.1%) than male riders (4.5%) were hospitalized (American Journal of Sports Medicine, February 2011, Vol.39:2, pp. 404-409).
In the RSNA 2015 study, the co-authors were Drs. Richard de Villiers and Shaun Scheepers from Van Wageningen and Partners, Somerset West, South Africa. Drs. Frank Roemer, Ali Guermazi, and Yogesh Kumar were the other contributors.



















