When incidental findings are documented in both the main body of text and the conclusion of a radiological report, they tend to be appropriately communicated to the general practitioner (GP), a new study has found.
"This communication rate drops off notably when incidental findings are documented only in the body and not conclusion, as is common for radiology reporting convention," noted Dr. Chester Yeung, emergency medicine principal house officer at Redcliffe Hospital, Queensland, Australia, and colleagues, adding that emergency physicians must be encouraged to review the entire report to ensure patients receive the correct care for their presenting complaint as well as incidental findings.
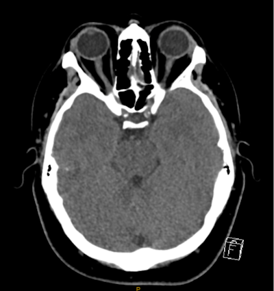
In this example of an incidental finding not being communicated to the patient's GP, a patient in their 30s presented to the emergency department with sudden onset of syncope and associated head injury. After a brain and cervical spine CT, the radiologist documented incidental moderate bilateral internal carotid artery calcification. All figures courtesy of Dr. Chester Yeung et al and presented at RANZCR's 2024 ASM.
The increasing prevalence of incidental findings -- or incidentalomas -- found on imaging is becoming a major concern in healthcare, particularly due to the increasing use of CT, the researchers stated in an e-poster at the annual scientific meeting (ASM) of the Royal Australian and New Zealand College of Radiologists (RANZCR), held recently in Perth.
"Benefits include detection of significant findings such as malignant tumours at an earlier instance but may also lead to patient anxiety and overtreatment," they wrote. "Another challenge is that many organs, e.g., colon, spine, breast, brain, do not have guidelines on how to manage incidentalomas."
The authors looked at how well Redcliffe's emergency department (ED) physicians are observing incidental findings found on CT and ultrasound reports and how they are communicating them to GPs for follow-up. Using the hospital's radiology patient management system, Karisma, they generated a list of all CT and ultrasound scans ordered by the ED and reported between 18 and 24 December 2023. This period was selected to correspond roughly with the start of the ED resident term, thus providing a degree of consistency with the ED physicians ordering for medical imaging, Yeung and colleagues explained.
"Patients who were discharged directly from the ED were selected because GP communication was the responsibility of the ED treating physician. Radiology reports for these studies were reviewed for incidental findings and whether they were documented in the report body only or in both the body and conclusion," they added.
The researchers evaluated a total of 264 reports (223 CT and 41 ultrasound). Of these, 112 CT reports and 11 ultrasound reports documented incidental findings. One hundred and seventy-one of these patients were discharged from the ED, of which 50 scan reports documented incidental findings. Thirty-three of these reports documented incidentals in the body but not the conclusion, and 13 of these were communicated to the GP in the discharge letter. In comparison, 17 incidentals were documented in both the body and conclusion, and 14 of these were communicated in the discharge letter.
This figure shows the study's methodology breakdown. There is marked improvement in GP communication of incidental findings when the reports documented them in both the body and conclusion (82.5% of cases) compared with when documented in only the body (39.4%).
"Of important and reassuring note is that at the time of this audit, the imaging review process for Redcliffe Hospital's ED was that a few days after discharge, supervising consultants would also receive a copy of patient scan reports. They would also review for incidental findings, organise additional communication with the GP if required, and advise the junior doctors of what was missed," Yeung and colleagues pointed out.
A transition to electronic medical records in the ED is now planned. The new system will have scan reports going only to the requesting physician. If a junior doctor orders the scan, the supervising consultant may not receive a copy of the report.
"As such, responsibility for communicating incidental findings will fall solely on the junior doctor," they wrote. "A planned next step will be an education session on CT and ultrasound incidental findings to be delivered to the ED junior doctors working during the period of this audit."
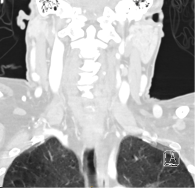
Another example of an incidental finding not being communicated to the patient's GP. CT cervical spine coronal reconstruction for a patient in their 50s who presented to the emergency department after syncope with head injury. The radiologist documented incidental emphysematous changes within the lung fields that were captured on a brain and cervical spine CT. This patient was a current smoker who had had no previous investigation, diagnoses, or treatment for chronic obstructive pulmonary disease (COPD).
Overall, the audit highlights an important area for improvement and reminder for ED physicians to carefully review the entire radiology report, they concluded, noting that a repeat audit will be conducted to review success of the education session and determine if further supports need to be considered.
You can read the team's full e-poster on the EPOS section for the RANZCR ASM 2024 on the ESR's website. The co-authors of this study were A. Bhandari and R. Ginsberg.



















