
3D printing is set to play an increasingly important role in clinical practice due to the wide range of applications for surgical planning and therapy as well as education and training in different branches of medicine, researchers from Serbia have reported.
"The experience that you can hold in your hands -- individual 3D models of organs, variations of organs and blood vessels formed and shaped from unique images of each of us -- is really a magic that only radiologists can create," noted Dr. Mirela Juković, a radiologist at the Clinical Center of Vojvodina in Novi Sad, and her colleagues.
The group has prepared a variety of 3D models for printing that serve as good examples of how the technology is progressing and growing over time, thereby offering a broad spectrum of implementation and increasing the importance of radiologists in clinical work.
"As a radiologist, virtual reconstruction of CT and MR images is very close to my heart," Juković told AuntMinnieEurope.com. "I want to show that every computer image can be represented as a 3D model. For me, it is very important to create realistic models that can be used for a better therapeutic approach for patients."
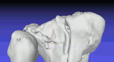
 Region of interest segmented using MeshLab software. Image shows segments of the tibial and fibula bones and multifragmentar fracture of the tibia, dorsal side of the bones. All images courtesy of Dr. Mirela Juković.
Region of interest segmented using MeshLab software. Image shows segments of the tibial and fibula bones and multifragmentar fracture of the tibia, dorsal side of the bones. All images courtesy of Dr. Mirela Juković. 3D-printed anatomical model using stereolithography technology shows segment of the knee. The fracture line is located on the tibial bone. Printing on an Ultimaker 2 machine took 18 hours using polylactic acid, a thermoplastic polymer derived from renewable resources, such as corn starch or sugar cane. The cost was around 30 euros.
3D-printed anatomical model using stereolithography technology shows segment of the knee. The fracture line is located on the tibial bone. Printing on an Ultimaker 2 machine took 18 hours using polylactic acid, a thermoplastic polymer derived from renewable resources, such as corn starch or sugar cane. The cost was around 30 euros.3D printing is useful for making surgical prostheses, instruments, and implants, and some prototypes can be made multiple times and improved upon until the definitive final version has been created, she explained.
"This type of service may open up a new approach in communication and interaction between clinicians, radiologists, and patients, with the goal of achieving better results in treatment and outcome," noted Juković, adding that making a 3D model involves image acquisition, image postprocessing (segmentation and optimization of the file), and 3D printing.
In the segmentation process, digital imaging and communication in medicine (DICOM) images are converted to the stereolithography file format used later for processing and making specific 3D models. Sensitive patient information is removed using 3D Slicer software, then processed with Embodi3D, the cloud-based, open-source service.
The 3D image is further prepared and optimized with MeshLab, an open-source system for processing and editing 3D triangular meshes. It offers tools and features for processing raw data produced by 3D digitization tools/devices and for preparing models for 3D printing.
"On a radiological workstation, there is a possibility to make virtual reconstructions of images, but 3D models give an additional feeling and sensation for both clinicians and radiologists," Juković stated. "There are numerous types of material from which models are made. The purpose and application of the 3D model determines both the type and characteristics of the 3D printer. Some basic 3D printers cost about $300, but sophisticated printers may cost up to $1 million."
Vast potential of 3D printing
3D printing facilitates the creation of 3D objects using computer-aided design information, and source data are obtained using numerous imaging techniques, especially CT and MRI. CT images are used more often because postprocessing is easier than MR images, she noted.
Generated models can boost training in orthopedic, cardiovascular, plastic surgery, maxillofacial and neurosurgery, and interventional radiology. They can also be used for better planning of medical therapies and for patients to familiarize themselves with the course of the disease and treatment.
"In clinical practice, the use of the 3D model is expanding into the spheres of surgery in terms of decision-making about tumor elimination and establishing their relationships with other nearby structures, with a major focus on liver and kidney tumors," Juković pointed out. "Some created 3D models can provide a realistic view into congenital heart anomalies and aortic disease, especially thoracic aorta aneurysms and dissections."
Models can be shown to the patient to help obtain informed consent and decide on treatment. In neurosurgery and radiosurgery, they could have a crucial role in the selection of pathological targets that give the opportunity to make a decision on the optimal type of surgical and radiation treatment, Juković continued.
3D models can be used to depict pathological conditions and anatomic variations of organs and blood vessels, and together with the radiological images, they can contribute to forensic medicine, especially during court sessions involving expert witnesses, she said.
To view the authors' full selection of images, go to the e-poster section of the European Society of Radiology website. Also, you can read more about their work in Medicinski pregled.



















