
Duchenne muscular dystrophy (DMD) carriers, even when asymptomatic, show severe cardiac abnormalities on MRI, according to new research from Germany.
A cardiac MRI study of 15 asymptomatic carriers showed that all of them had significant cardiac pathologies, which ranged from increased left ventricular (LV) end-diastolic volumes to increased LV end-systolic volumes. There were also decreased ejection fraction measurements and other cardiac structural abnormalities, the investigators from University Clinic Essen reported.

"We found cardiac pathologies quite frequently in Duchene carriers, and given the high frequency ... regular cardiac risk assessment seems advisable in this group," said radiologist and lead author Dr. Juliane Schelhorn in a presentation at last month's ECR 2015.
DMD is the most common and severe form of dystrophinopathy that affects about 1 in 3,500 live-born males, she said. Dystrophin gene mutation is the culprit (chromosome xp21.1). Two-thirds of cases are inherited recessively, and the remaining third develop from denovo gene mutations.
"Affected males develop distinct general muscle weakness; the myocardium is often involved and dilated cardiomyopathy presents as one leading cause of death among these patients," she said. "In contrast, DMD carriers rarely present with clinical symptoms but may suffer from cardiac involvement."
However, it's not been easy to say exactly what that cardiac involvement is. Echocardiographic findings have been inconsistent, and cardiac MR data is limited, Schelhorn said. The study aimed to investigate asymptomatic carriers using cardiac MR for cardiac abnormalities.
The group prospectively investigated 15 genetically confirmed DMD carriers (mean age 32.3 ± 10.2 years) on a 1.5-tesla MR scanner (Magnetom Aera, Siemens Healthcare).
Cine, T2, and late gadolinium enhancement images were acquired following contrast administration (gadobutrol, Gadavist, Bayer Healthcare Pharmaceuticals). Sequences included steady-state free-precession imaging (SSFP), as well as T2- and T1-weighted inversion recovery FLASH sequences with iterative reconstruction, Schelhorn said.
Two experienced readers working in consensus evaluated all images, assessing wall motion abnormalities, LV wall thickness, noncompaction, and late gadolinium enhancement. Software was used to perform semiautomatic measurement of left ventricular parameters.
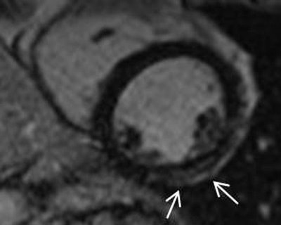
The results showed abnormalities in all 15 patients, including decreased LV end-diastolic volumes, and increased LV end-systolic volumes. There were also decreased ejection fraction measurements. Late gadolinium enhancement, mainly midmyocardial inferolateral, was found in 60% of the patients, Schelhorn said.
"Normalized stroke volume was reduced in 47% of patients, and the ejection fraction was reduced in 33%," she said. ..."Normalized endocardial volume and diastole were reduced in 80% of carriers."
There was LV noncompaction in 13% of carriers (apically accented), and regional hypokinesia in 47%. There was regional myocardial thinning (more than one segment) in 80% of patients. Finally, late gadolinium enhancement was seen in 60% of patients.
Results showed abnormalities in 15 of 15 patients | ||||||
Mean | Range | % of subjects with values being | ||||
Reduced | Normal | Increased | ||||
EDV (mL) | 125.7 | 76-194 | - | 93 | 7 | |
nEDV (mL/m²) | 73.7 | 48-116 | - | 93 | 7 | |
ESV (mL) | 53.8 | 23-123 | - | 87 | 13 | |
nESV (mL/m²) | 31.5 | 15-74 | - | 80 | 20 | |
SV (mL) | 71.9 | 53-90 | 20 | 80 | - | |
nSV (mL/m²) | 42.2 | 33-54 | 47 | 53 | - | |
EF (%) | 58.4 | 37-69 | 33 | 67 | - | |
MM at ED (g) | 69.2 | 49-94 | 53 | 47 | - | |
nMM at ED (g/m²) | 40.5 | 31-55 | 80 | 20 | - |

Cardiac pathologies occur frequently in Duchene carriers, and because of this, regular risk assessment seems advisable in these individuals, she concluded. The frequency would have to be sorted out depending on the carrier.
"Besides clinical examination, cardiac MR imaging provided an excellent tool for this purpose," Schelhorn said.