Special Feature Placeholder Bottom - AuntMinnieEurope Middle East Section

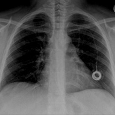
Case report: Retrieval of portacath fragment
2014 03 09 23 57 42 318 2014 03 10 Cxr Thumb

Portacaths are commonly indicated for long-term administration of parenteral medications. This case report details the successful interventional retrieval of a fractured portacath fragment with cardiac migration. This is rather an unusual complication that, at times, can be life-threatening.
Read more.

Page 1 of 71
Next Page