Dear MRI Insider,
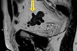
When evaluating prostate MRI scans, radiologists can detect some clinically significant genitourinary and nongenitourinary incidental findings, and they need to look beyond the prostate and accurately recognize and characterize these findings.
That's the main message from an experienced group of radiologists in Bilbao, Spain. They've produced a useful checklist of incidental findings to look out for, and they've also provided four clinical cases that you can learn from. Don't miss our news report.
Face and lip fillers are proving increasingly popular, but they can cause serious health problems. In today's second article, German authors describe how MRI proved vital in treating a 62-year-old woman with infections and a 15-mm lesion resulting from injection with a facial dermal filler. Their case report deserves a close look.
Is it time for a rethink on magnetic field strength? That was a question raised recently at ECR 2021. Our report from the session suggests there's a growing consensus among MRI specialists that multiple different techniques can flourish and complement each other. That's the hope, anyway, but time will tell if the field-strength debate really is over.
Another standout session at the virtual congress was about the first decade of PET/MRI. Around 110 of these scanners have been installed worldwide, of which more than half are located in Europe. How are these systems being used? What are the prospects for the future?
Hospitals and factories could do a better job of recycling their materials, including gadolinium-based contrast agents, according to the authors of a new Swiss study of wastewater plants. They detected high concentrations of gadolinium and other elements.
This letter features only a few of the many reports posted recently in the MRI Community. Please scroll through the full list below, and feel free to contact me if you have ideas for future coverage.




















