CT: Page 14
Marie-Pierre Revel gives her thoughts on the eve of ECR
February 27, 2024
How can radiology promote equity, diversity, and inclusion?
February 23, 2024
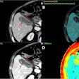
Spectral CT can boost outcome in tricky abdominal cases
February 15, 2024
EBR unveils 2024 schedule for EDiR
February 13, 2024
From Ireland to Canada: Amy Schranz on life as a resident
February 12, 2024
Imaging of children: Halliday gazes into the future
February 6, 2024
ESR goes Dutch: Mathias Prokop wins presidential race
January 29, 2024
CT shows that functional limitations persist 6 months after TBI
January 26, 2024
Is alcohol addiction a serious problem among radiologists?
January 23, 2024
Point-of-care decision support reduces unnecessary imaging
January 15, 2024












