Dear CT Insider,
Several different classification systems of diverticular disease focus on measurements of colonic wall thickness and lumen dimensions, but many of these scoring systems are complicated and time-consuming. No gold standard exists.
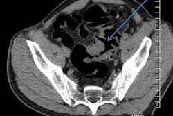
Irish researchers have addressed this problem and proposed a simple, visual scoring system to classify the severity of diverticular disease. In developing this system, they've conducted an audit of more than 1,800 scans of the colon. Get the full details here.
Meanwhile, Belgian authors have investigated whether organ-based tube-current modulation in CT chest studies of women reduces radiation dose. They found that while radiation dose to the breast fell, it increased in other areas. To learn more, click here.
Medical physicists have a key role to play in optimizing dose. To find out more about their perspective on the issues that matter, we have interviewed Virginia Tsapaki, PhD, from Nea Ionia in Greece. For her practical and timely advice, click here.
Awareness of radiation dose is growing fast in the Middle East, as highlighted by a comprehensive study of diagnostic reference levels in Saudi Arabia. The study shows there is still work to be done, however. Click here for the full story.
What strategies can be used for dealing with patient motion in cardiac CT examinations? At last month's ECR 2018 in Vienna, Thomas Beyer, PhD, and his colleagues attempted to answer this and other questions during a refresher course on image artifacts. You can get their recommendations here.
This letter introduces only a few of the many articles posted in your CT Community over recent weeks. To get the full list, please scroll through the lineup below.



















