
A CT scan confirmed that a man experienced a spontaneous perforation of his pharynx after attempting to stop a forceful sneeze, according to a new case report published online in BMJ Case Reports on 15 January.
A previously fit and well 34-year-old man presented to the emergency department with an acute onset of odynophagia and change of voice after a forceful sneeze, according to the authors from the University Hospitals of Leicester in Leicester, U.K. After he tried to halt a sneeze by pinching his nose and holding his mouth closed, the man experienced a popping sensation in his neck and some bilateral neck swelling.

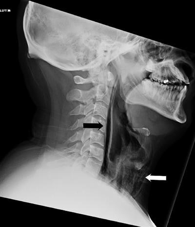
A lateral soft-tissue neck radiograph was performed, followed by an urgent, contrast-enhanced CT of the neck and thorax that confirmed the presence of extensive soft-tissue emphysema and pneumomediastinum.
After being admitted and treated conservatively with prophylactic intravenous antibiotics and enteral feeding via a nasogastric tube, the patient's symptoms and subcutaneous emphysema gradually resolved during the course of admission, according to the authors.

"CT scan of the neck and thorax with water-soluble contrast swallow should be used as the gold-standard investigation, which can confirm the diagnosis and defines the exact pathological site," they wrote. "In addition, the normal CT appearance of the lung parenchyma and esophagus helps to exclude more serious causes of pneumomediastinum such as tracheobronchial rupture and Boerhaave's syndrome."
The full case report can be found here.