
Most 7-tesla MRI scans to date have been devoted to the brain and neuroscience, but at least one group of German researchers is expounding on the clinical potential for the ultrahigh-field modality for cardiac and cardiovascular applications.
In a recent article in Circulation: Cardiovascular Imaging, a team led by Thoralf Niendorf, PhD, a professor for experimental ultrahigh-field magnetic resonance at the Charité - University Medicine Berlin, outlined how 7-tesla MRI can overcome its challenges and become a relevant modality in the clinical setting.
The high-resolution (1 x 1 x 2.5-mm) dataset of the heart was acquired at 7 tesla from a healthy subject. The images show whole heart coverage from the apex to the base of the heart. All images are courtesy of Thoralf Niendorf, PhD."This will only happen if we recognize that moving into ultrahigh fields is more than just a matter of buying magnets and installing them and trying to operate them in core facilities, armed with the concepts that have guided discovery in the lower fields," the authors noted (Circ Cardiovasc Imaging, 13 June 2017).
Clinical attraction
The lure of 7-tesla MRI for researchers and clinicians alike is the modality's increased signal-to-noise ratio and stronger contrast in images. Approximately 15% of imaging sites already equipped with a 7-tesla MRI system have begun exploring ultra high-field cardiac MRI, according to some estimates.
Niendorf and colleagues see cardiac imaging as the fledgling application. They have listed approximately 50 peer-reviewed articles on ultrahigh-field cardiac imaging, with early applications that include spectroscopy of the heart and large vessels.
"This can be achieved because of the inherent relationship between the signal-to-noise ratio (SNR) and magnetic field strength," they wrote. "In parallel, the field is making remarkable progress with respect to novel radiofrequency technologies and MR methods that should make clinical ultrahigh-field cardiac MRI feasible as 7-tesla MR machines become more widely available."
More specifically, 7-tesla MRI should have the unique ability to advance cardiac chamber quantification of the left and the right ventricles using high-density arrays of radiofrequency antennae. Several studies have reported an SNR increase with 7-tesla MRI of 2.1 times compared with 1.5-tesla. The enhanced uniform signal intensity creates high-quality images and high blood/myocardial contrast over the entire heart.
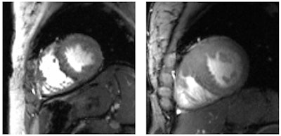
High-resolution short-axis views of the heart acquired at 7 tesla of a healthy subject (left) and a patient with hypertrophic cardiomyopathy (right).Ultrahigh-field cardiac MRI provides "an unprecedented potential for real-time imaging and addressing some of the shortcomings and physiological constraints of traditional assessments of left ventricular and right ventricular structure and function," noted the authors, citing "accelerated imaging capabilities of free-breathing real-time imaging" of the heart at 7 tesla.
In addition, 7-tesla MRI could advance myocardial tissue characterization through enhanced susceptibility effects. Such an outcome could be achieved by lowering the detection level for abnormal tissue compared with lower-field magnet strength and extending the dynamic range of sensitivity for monitoring T2-weighted changes, according to the authors.
A natural extension for 7-tesla MRI would be into vascular applications and MR angiography (MRA) of the large vessels. Such volume coverage, such as 4D flow, could follow patterns and wall shear stress in large vessels. Once again, 4D aortic flow imaging at 7 tesla results in 2.2 times the SNR of 3 tesla and 3.8 times the SNR of 1.5 tesla, according to past studies.
"The baseline SNR advantage of 7-tesla MRI also translates into better spatiotemporal resolution in contrast-enhanced MRA," Niendorf and colleagues added.
Ultrahigh challenges
As is the case with the progression of all technologies, there are always hurdles to overcome. It is no different with 7-tesla MRI. Take, for example, the potential effect of ultrahigh-field MRI of patients with implanted devices or on general physical well-being.
"Pushing the boundaries of magnetic field strengths in cardiac MRI presents the same safety challenges as the advent of any new clinical technology and must be thoroughly tested for its potential physiological impact and physical effects, which arise through the use of ultrahigh magnetic fields," the authors wrote.
Thoralf Niendorf, PhD, from Charité-University Medicine.As for the latter, Niendorf and colleagues estimated in a 2016 study that approximately 46,000 human patients have undergone 7-tesla MRI scans with no acute adverse effects on their health (Magnetic Resonance Materials in Physics, Biology and Medicine, June 2016, Vol. 29:3, pp. 309-311).
Similarly, 7-tesla MRI was well-tolerated with no excessive discomfort for subjects, according to a 2014 study by Italian researchers at the University of Pisa. The incidence of adverse effects reflected the reactions of patients who underwent 1.5- and 3-tesla scans.
German researchers from University Hospital Essen presented findings at the RSNA 2016 meeting that side effects related to a patient's vestibular system, which includes the inner ear and brain to help control balance, dissipated in less than 15 minutes after a 7-tesla MRI scan.
"Seven-tesla MRI causes only a temporary dysfunction or overcompensation of the vestibular system," lead author Dr. Jens Theysohn told attendees. "We think the expected time to resolve [the issues] is about 30 minutes."
There also is preliminary research on how ultrahigh-field magnet strength might affect implanted devices. In a 2012 study of patients with stents, Santoro et al found that 7-tesla MRI scans did not did not raise temperatures above the standards established by the International Electrotechnical Commission (PLOS One, 21 November 2012).
Still, Niendorf and colleagues cautioned that patients with implants might limit their access to ultrahigh-field cardiac MRI until they are shown to be safe at 7 tesla.
Economies of scale
There also are, of course, economic factors facing 7-tesla MRI systems, which are by no means an inexpensive investment.
"The extent to which the high cost of 7-tesla magnets can be lowered will depend on improved workflows and economic and ergonomic changes to hardware, some of which are already underway, such as access to shorter magnets," they wrote.
At least one MRI vendor has submitted applications to the Conformité Européenne and the U.S. Food and Drug Administration for permission to use 7-tesla technology in the clinical realm. If and when that happens, it will be a "breakthrough en route to broader clinical 7-tesla MRI applications and generate more momentum for clinical pioneers and early clinical adaptors in cardiology," the authors predicted.
They recommended interdisciplinary, interinstitutional, and international collaborations among researchers, clinical scientists, and clinicians to make 7-tesla MRI a mainstay among the other imaging modalities for a range of clinical applications. One entity leading the way is the Berlin Ultrahigh Field Facility, of which Niendorf is the head.
"The ultimate clinical potential of this game-changing technology is far greater; all that is required is the imagination to apply it," Niendorf and colleagues wrote.



















