Dear AuntMinnieEurope Member,
It's vital to ensure all ingested packets of cocaine are removed before drug mules enter prison. A single residual packet may have life-threatening consequences due to late rupture, or serve as a source of drugs inside prison.
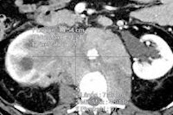
CT is far more effective than abdominal x-ray in detecting these packets, according to new forensic research from France. The group studied 138 confirmed cases of drug smuggling during 2011, and their findings are clear-cut. Go to our CT Digital Community, or click here.
One of Europe's top cardiac imaging experts, Dr. Hans-Christoph Becker, made a big impact at the prestigious 2013 International Symposium on Multidetector-Row CT. He described the results of his team's latest study as "quite remarkable" because they suggest there's no significant difference between assessing the aortic valve with single- or dual-source CT. Visit our Cardiac Imaging Digital Community, or click here.
At the same congress, another German group showed that 3D volumetry methods can allow radiologists to provide oncologists with more precise information on tumor response to therapy, including calculation of the important prognostic factor of early tumor shrinkage. Dr. Anno Graser from Munich discussed how semiautomated volumetry techniques offer reproducibility benefits and reduce misclassification of therapy response. Go to our Advanced Visualization Digital Community, or click here.
Advances in breast MRI have also made the headlines this week. A practical algorithm to classify lesions found in MR mammography has been developed. Get the story here.
Bariatric surgery is becoming increasingly common, but proper use of upper gastrointestinal radiography and CT is necessary to assess potential complications. Also, reading these examinations is not easy, and understanding the surgical techniques is essential, French researchers warn. Click here to learn more.
Finally, dual x-ray absorptiometry (DEXA) can measure bone mineral density at the spine or hip to diagnose osteoporosis, but some conditions alter bone density at other skeletal sites, leading to increased fracture risk that's not reflected by standard DEXA measurements. Find out more here.


















