
Using digital breast tomosynthesis reduced the recall rate by 74% compared with conventional 2D digital mammography in a population-based breast screening program, Italian researchers found in a study in Breast Cancer Research and Treatment (22 January 2012).
Dr. Daniela Bernardi from the breast screening clinic at Trentino Health Administration (APSS) in Trento, Italy, led the study of 158 women recalled after initial baseline 2D mammography. The team assessed each woman with both standard mammography and tomosynthesis.
In all, 102 of the cases were negative with both imaging modalities, another 21 were positive with both, and the remaining 35 were positive with tomosynthesis but negative with standard mammography. Tomosynthesis would have avoided recall in 74.4% of the recalled women who had a negative or benign final outcome (102/137), the investigators concluded.

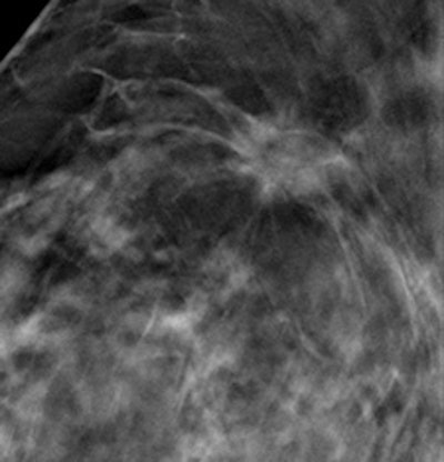
Example of improved screening with 3D imaging with tomosynthesis -- a cancer stellate opacity with distortion with tomosynthesis (right) and with standard mammography (left)."We found that tomosynthesis as a triage in recalled cases reduced [recall rates] and did not cause any false-negative recommendations," the researchers concluded.
The Trento screening program has a relatively low baseline recall rate, however. Hence, "it is likely that the observed reduction in recalls using 3D mammography would translate into reduced [recall rates] in screening practice," they wrote.
Parallel tomosynthesis and 2D mammography
Seven radiologists from the breast screening clinic participated in the study of tomosynthesis and standard mammography in 158 consecutively recalled subjects from July to September 2011. The triaging results, broken down into the findings of each radiologist, are shown below.
Results of 3D mammography triage by radiologist (A to G)
|
Of the 137 subjects who were negative on standard mammography, 102 (74.4%) were negative with tomosynthesis. There were no false negatives with tomosynthesis. Overall, its positive predictive value was 37.5% (21 or 56) and its negative predictive value was 100%.
The true-negative rate varied significantly between radiologists, from 20% to 92.8%.
"There were few cases per radiologist (14 to 36), and it does not make much sense to provide individual data, so only cumulative data have been presented," Bernardi told AuntMinnieEurope.com in an email. "The database has been enriched since submission (now more than 300 cases); when a sufficient number of cases will be accrued, then we will check triage effect by reader."
The overall true-negative rates with tomosynthesis were 74% for D3-4 breast densities and 68.4% for D1-2 breast densities (p = 0.13). The highest true-negative rates occurred in asymmetrical-density lesions (90%) and those with distortions (100%). The lowest rates were with microcalcifications (0%), opacities with irregular stellate margins (0%), and opacities with regular margins (36.3%).
"[Recall rate] reduction was noted to be highest for abnormalities that are more likely to be created by superimposition of parenchymal and fibrous structures on 2D mammography, such as asymmetric densities and distortions," the investigators wrote.
Estimation of savings
The researchers also estimated the cost savings associated with triaging using tomosynthesis. They calculated that, based on an average recall rate of 5% for the Trento program and a 50% recall rate reduction extrapolated from the present study, 25,000 euros per year ($32,000 U.S.) could be saved while examining 20,000 patients.
"We actually found a 74.4% recall reduction, but since in the study we were proposing a simulated scenario, I used a more prudent estimate [for the cost-reduction calculation]. Also, other reports of [recall rate] reduction by tomosynthesis show lower reduction rates," Bernardi explained. "In fact, we did not take into account recalls 'created' by 3D. But this aspect will be better addressed in the screening study which is ongoing in our center."
The authors conceded that "a limitation of the study is the simulation context, whereby 3D-based triaging was performed by the radiologist[s] with awareness that assessment would have progressed irrespective of the recommendation based on triaging."

















