
A virtual colonoscopy (VC or CT colonography [CTC]) screening trial performed entirely on 64-detector-row CT found clinically significant polyps nearly as accurately as optical colonoscopy (OC). Per-patient sensitivity was 100% for lesions 10 mm and larger, researchers reported.
A unique aspect of the Munich Colorectal Cancer Prevention Trial was a study design that incorporated five separate colorectal cancer screening modalities in the same screening cohort, according to Dr. Thomas Mang from the Medical University of Vienna in Austria, who presented the results at the 2007 International Symposium on Virtual Colonoscopy in Boston.
The study was a "prospective comparison of conventional (optical) colonoscopy, CTC, flexible sigmoidoscopy, and blood tests such as fecal occult blood test (FOBT) and imHb immunochemical fecal occult blood testing (FIT), and also combinations of blood testing (FOBT, FIT) and sigmoidoscopy in a screening population," Mang said. The primary end point was the evaluation and comparison of these different methods for detecting neoplastic lesions 6 mm and larger and 10 mm and larger in diameters.
Mang presented the results on behalf of principal investigator Dr. Anno Graser, a radiologist from the Grosshadern campus of the University of Munich in Germany, and currently a research fellow at New York University Medical Center in New York City.
Graser's co-investigators from the University of Munich included radiology chair Dr. Maximilian Reiser, Dr. Petra Stieber, Dr. Dorothea Nagel, Dr. Claus Schäfer, Dr. David Horst, Dr. Christoph Becker, Dr. Konstantin Nikolaou, Anja Lottes, Sarah Geisbüsch, Dr. Harald Kramer, Dr. Andreas Wagner, Dr. Helmut Diepolder, Dr. Jörg Schirra, and Dr. Burkhard Göke.
Trial candidates were excluded if they had symptoms suggestive of an elevated risk of colon cancer or polyps, were younger than age 50, had a family history of colorectal polyps or cancer, had undergone colonoscopy within the previous five years, or participated in another trial.
A total of 307 subjects (135 women, 172 men; mean age 60.3 ± 6/7 years) completed all the tests and were included in the analysis, Mang said.
Before cathartic bowel cleansing with 4 L of polyethylene glycol and bisacodyl laxative tablets, CTC, and colonoscopy, stool samples were obtained for FOBT (x3) and FIT (x2).
"The 4 L (of polyethylene glycol) were given in a split dose, which has been shown to be effective, with 3 L in the evening and 1 L in the morning, and the liter in the morning was mixed with 50 mL of iodinated contrast media for fluid tagging," Mang said.
Following automated insufflation of the bowel with CO2 (ProtoCO2l, E-Z-EM, Lake Success, NY), prone and supine image datasets were acquired on a 64-slice scanner (Sensation 64, Siemens Medical Solutions, Erlangen, Germany).
"Dr. Graser performed a high-resolution CT scan with a collimation of 0.6 mm, image reconstruction of 0.5 mm with an effective slice thickness of 0.75 mm, so the datasets were quite large with about 1,000 to 2,000 images," Mang said.
The data were evaluated using a primary 3D technique, with segmental unblinding of conventional colonoscopy data, which served as the reference standard.
"Dr. Graser performed segmental unblinding based on the six colonic segments," Mang explained. "The gastroenterologist was blinded to the results of CT colonography, which was performed on the same day. After review of one segment, the gastroenterologist had access to the CTC findings, and if there was a discrepancy in size, location, or presence of a polyp, a reevaluation of the segment was performed."
The results revealed a total of 511 polyps were detected in the screening population, of which 211 (43%) were adenomas. According to Mang, 48 or 8% of the adenomas were advanced lesions consisting of villous adenomas or adenomas with more than 25% villous components, or cancer.
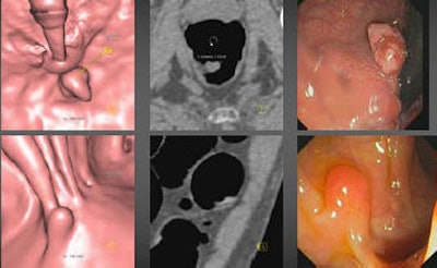
![]()  | 
| A 70-year-old asymptomatic woman presented with nine polyps at both OC (left) and VC (middle and right), including four larger than 2 cm. FOBT and FIT were positive; however, flexible sigmoidoscopy found only five of nine lesions. All images courtesy of Dr. Anno Graser. | 
"We detected 147 adenomas ≤ 5 mm and 42 adenomas 6-9 mm in size," Graser noted in an e-mail to AuntMinnie.com. "Thirteen of these small and medium adenomas were of advanced histology. The other 33 (72%) advanced adenomas were ≥ 10 mm."
In 27 subjects, there were 36 adenomas 9 mm or larger (total of 40 polyps > 9 mm). There were 79 adenomas larger than 5 mm (total 100 polyps > 5 mm in 61 subjects), for a total of 80% of lesions smaller than 6 mm. Only 9% were 6-9 mm, and 7.8% were larger than 9 mm. Only about half of the adenomas were within the range of the flexible sigmoidoscope, Mang said.
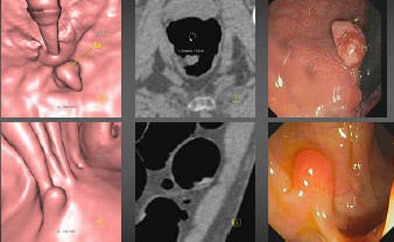
![]()  | 
| A 67-year-old man presented with a 1.7-cm villous adenoma in the rectum and an 8-mm pedunculated polyp in the sigmoid colon at both VC (left and middle) and OC (right). FOBT was negative while FIT results were positive. | 
In the per-patient analysis, "optical colonoscopy did quite a good job in all size categories, with 98%, 95%, 100% (sensitivity) for lesions smaller than 6 mm, 6 mm or larger, and 10 mm and larger," respectively, Mang said. "CT colonography was nearly in the range of optical colonoscopy in the larger size groups with 93.7% (≥ 6 mm) and 92.6% (≥ 10 mm) (sensitivity). For lesions smaller than 6 mm, VC sensitivity dropped to 76.9%." Specificity was 98.6%, 96.9%, and 61.9% for large, medium, and small polyps, respectively.
Sigmoidoscopy results were inferior to both OC and VC, yielding sensitivity of 76.9%, 64.6%, and 66.7% for small, medium, and large lesions, respectively.
For adenomas 10 mm and larger, sensitivities for FIT and FOBT were 22.2% and 17.8%, respectively. FIT and FOBT were slightly better when both tests were combined, yielding sensitivities of 41.8% (≥ 6 mm) and 36.0 (≥ 10 mm). The sensitivity of both tests rose when combined with flexible sigmoidoscopy, to 80% (≥ 6 mm) and 71.4% (≥ 10 mm) for FIT, and 70% (≥ 6 mm) and 76% (≥ 10 mm) for FOBT, Mang said.
Per-polyp sensitivities for virtual colonoscopy for small, medium, and large polyps were 59.2%, 90.2% and 93.9%, respectively, compared to optical colonoscopy at 94.6%, 92.7%, and 100% for the same size categories.
A stage T3 carcinoma was detected by FOBT, FIT, CTC, and OC, but missed by flexible sigmoidoscopy as it was located in the transverse colon, Graser said.
"Optical colonoscopy has the highest sensitivity for the detection of colorectal neoplasia," Mang concluded. "High resolution CT colonography approaches the results of optical colonoscopy in the detection of significant polyps. Sigmoidoscopy might miss relevant lesions due to limitations in the distal colon. FIT performs better than FOBT, and the combination of these tests can be increased by combining it with sigmoidoscopy."
The trial was the first to be conducted entirely on a 64-detector scanner, and was performed with a low mean radiation dose of only 4.5 mSv, added Graser.
By Eric Barnes
AuntMinnie.com staff writer
November 12, 2007
Related Reading
Two-tier fecal occult blood screening offers effective colorectal cancer detection, October 30, 2007
Italian multicenter VC trial screens higher-risk cohort, October 17, 2007
Positive trial results boost VC's prospects for broader screening role, October 16, 2007
ACRIN trial shows VC ready for widespread use, September 28, 2007
Immunochemical test most sensitive for detecting colon cancer, September 26, 2007
Copyright © 2007 AuntMinnie.com



















