Subspecialties: Page 248
New CT technique identifies blood vessel plaque
July 12, 2017
Radiotherapy boost based on PET not always helpful
July 12, 2017
8 ways to boost accuracy in lateral chest x-rays
July 12, 2017
RCR warns over post-Brexit radioisotope access
July 11, 2017
Why Brexit may cause severe radioisotope shortages
July 11, 2017
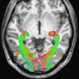
DOPA-PET can alter brain tumor therapy decisions
July 10, 2017
Germany approves Radiology Protection Act
July 10, 2017
3D ultrasound quantifies subclinical atherosclerosis
July 10, 2017
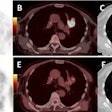
PET agent could advance blood clot imaging
July 6, 2017
GE, HeartFlow sign collaboration agreement
July 5, 2017








