
The results from a new survey by German researchers underline that study participants appreciate learning about incidental findings and have triggered improved standardization of incidental finding reporting in a larger national cohort.
The authors from Heidelberg University Hospital further suggest that incidental findings are likely to be frequently observed in population-based imaging, so more research is needed into tools such as deep-learning algorithms and structured reporting to optimize reporting efficiency.
 Dr. Christopher Schlett from University Hospital Heidelberg.
Dr. Christopher Schlett from University Hospital Heidelberg."We aimed to assess the frequency, management, and psychosocial consequences of incidental finding reporting in a medium-sized population-based cohort in order to prepare for a national cohort of 30,000 whole-body MRI scans for brain, heart, thoracic, abdominal, and [musculoskeletal] pathologies," said lead author Dr. Christopher Schlett, cardiovascular radiologist and section chief. "We've learned a lot from our findings and now have been able to implement new incidental finding reporting protocols in the larger cohort study, also known as the German National Cohort."
Based on the population-based Cooperative Health Research in the Augsburg Region (KORA) cohort, a set of 400 participants without known cardiovascular disease underwent 3-tesla whole-body MR imaging in 2013/2014 using a comprehensive protocol, including cranial, thoracoabdominal, and cardiovascular sequences. Researchers excluded subjects with known coronary artery disease.
A radiologist reviewed all images for presence of relevant incidental findings according to a recommended list of relevant and nonrelevant incidental findings based on current literature. If the radiologists felt unsure, the case was referred for interdisciplinary panel adjudication. A participants' survey was conducted directly before and six months after the MR scan between 2013 and 2015, regarding personal expectations, psychosocial consequences, and experiences with incidental finding reporting, regardless of whether the participant actually had any incidental findings. The key findings are shown below.
| Key results of incidental finding reporting survey | |
| Number of patients with complete prescan and postscan surveys | 243 (100%) | 
| Percentage of patients considering incidental findings very important prescan | 57 % | 
| Percentage of patients considering incidental findings very important postscan | 42 % | 
| Percentage of patients considering waiting for the incidental finding report burdening | 3.4 % | 
Clear results
A total of 116 incidental findings were reported in 89 participants (22%). Of these, 27 cases were reviewed by the panel. Additionally, 28 cases (7%) were referred to the panel but classified as not relevant for reporting. Among the reported incidental findings, unclear liver lesion (n = 13), silent myocardial infarction (n = 12), and complex renal cyst (n = 10) were most common.
 Example of an incidental finding in whole-body MR scan in population-based imaging without contrast enhancement showing an unclear T1-weighted hypointense (right panel), T2-weighted slightly hyperintense (left panel) liver lesion of about 4.5 cm in liver segment VII, which requires further workup. All images copyright Dr. Christopher Schlett.
Example of an incidental finding in whole-body MR scan in population-based imaging without contrast enhancement showing an unclear T1-weighted hypointense (right panel), T2-weighted slightly hyperintense (left panel) liver lesion of about 4.5 cm in liver segment VII, which requires further workup. All images copyright Dr. Christopher Schlett.The survey data included both pre- and postscan survey information for 243 participants. More than half of the participants (57%) noted in the prescan survey that reporting incidental findings in general would be "very important" for them, which decreased to 42% after the scan (p < 0.001); this decrease did not differ whether the participant had an incidental finding reported or not (p = 0.75). A small percentage (3.4%) of patients reported that waiting for the incidental finding report was "very burdening" or "burdening for them. From the participants with reported incidental findings, 9.1% felt that the results were "very burdening," in contrast to 56.8% who classified the results as "very helpful."
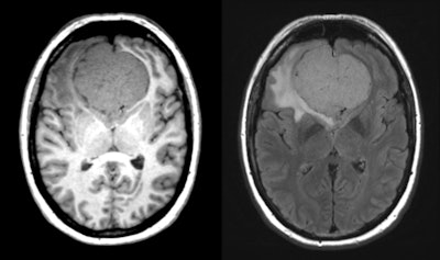
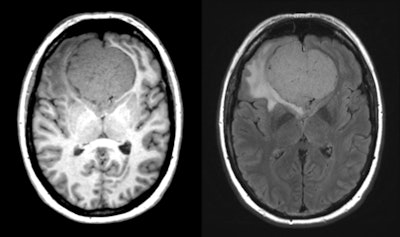
 Example of an incidental finding in whole-body MR scan in population-based imaging without contrast enhancement showing an intracranial tumor mass -- T1-weighted isointense, T2-weighted slightly hyperintense, arising from the olfactory groove with significant local mass effect and moderate surrounding FLAIR signal hyperintensity within the left frontal lobe, most likely representing olfactory groove meningioma. Further workup and near-term neurosurgical consultation are necessary.
Example of an incidental finding in whole-body MR scan in population-based imaging without contrast enhancement showing an intracranial tumor mass -- T1-weighted isointense, T2-weighted slightly hyperintense, arising from the olfactory groove with significant local mass effect and moderate surrounding FLAIR signal hyperintensity within the left frontal lobe, most likely representing olfactory groove meningioma. Further workup and near-term neurosurgical consultation are necessary.Incidental finding reporting could pose a problem to logistics or participant well-being if a large body area is covered in high detail in great numbers of participants during a big population study, according to Schlett, speaking to AuntMinnieEurope.com in an interview after the RSNA 2017 meeting, where the results of the survey were presented. Other cohort studies are currently recruiting with sample sizes of 30,000 to 200,000 whole-body MRI scans, and incidental findings are likely to be high, he noted, raising the question of how to treat the findings in terms of both investigator reporting resources, and/or participant psychological burden.
Incidental finding report automation
"There are studies that choose to invest less in reporting incidental findings. For example, the UK Biobank, a study aiming for 200,000 MR scans, decided not to review the acquired MR images for presence of incidental findings but only focus on cases that technicians flagged as concerning during acquisition. We decided to take the other approach," Schlett said. "Of the 30,000 whole-body MRI scans in the German National Cohort, over 20,000 participants have already been scanned, and it appears that patients want to know about incidental findings -- this is one of their main motives for participating in research studies that include imaging," he added. "Thanks to our research, systematic reporting of incidental findings has been implemented in the German National Cohort."
Based on the large-scale imaging research, further insights will be gained regarding what constitutes a significant incidental finding to be reported and which minor incidental findings should be ignored.
"This is likely to affect our clinical approaches to incidental finding reporting," he said.
Additional time needed for systematic incidental finding reporting for whole-body MRI will depend on the IT solution used. Based on the Heidelberg team's experiences with the German National Cohort using dedicated software tools that it developed with the Fraunhofer Institute for Medical Image Computing (MEVIS) in Bremen, the additional time is tolerable.
"For systematic incidental finding reporting, the software will provide a window containing a list of possible pathologies for any incidental finding marked or measured. Search tools also can be implemented. The current system has improved radiologists' workflow: Within two or three clicks, an automatic report can be generated," stated Schlett, adding "We are currently working on further automation of the system, but the software needs more training before it can be routinely used."
He underlined that the high incidental finding reporting rate in large studies should be managed with some degree of automation.
"Systematic incidental finding reporting is worthwhile in large cohorts and will motivate participation in studies," Schlett concluded.
















