Dear AuntMinnieEurope Member,
Live one day at a time emphasizing ethics rather than rules, advises the motivational speaker Dr. Wayne Dyer.
The European Society of Radiology seems to agree with this viewpoint and has produced a new code of ethics. But do sufficient penalties exist to ensure compliance with the code? And is the document likely to be of any use or relevance in daily practice? Click here to read more.
Austrian researchers have found that an advanced visualization method using curved maximum intensity projections may shorten detection time for epidural and subdural hematomas, increase sensitivity (especially for thin hematomas), and reduce the required operator experience for detection. Their findings appear in the May edition of Radiology. Go to our Advanced Visualization Digital Community, or click here.
Dr. Fabian Kiessling from Aachen, Germany, is one of a handful of radiologists who have switched successfully to cutting-edge molecular research. Later this month, he's running a workshop about hybrid imaging at the European Molecular Imaging Meeting in Turin, Italy. Read about it in our Molecular Imaging Digital Community, or click here.
The International Conference on Nuclear Cardiology and Cardiac CT takes place in Berlin this week. A research team from Hannover, Germany, has revealed details about a novel therapeutic approach to decrease the levels of inflammation in the atherosclerotic plaques of patients with cardiovascular disease. Visit our Cardiac Imaging Digital Community, or click here.
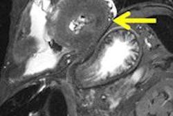
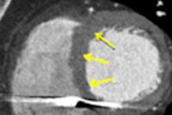
Virtual autopsies continue to attract attention. Authors from Switzerland and Sweden think postmortem cardiac 3-tesla MRI can identify sudden cardiac death in complex cases that are invisible at conventional autopsy. Get the story here.
Finally, please don't forget to complete our working hours survey. Everybody who does so will be entered into a prize draw for an iPad mini. The survey's short and easy to fill out, and we'll be sharing the results with you. Find out more here.



















