
VIENNA - A one-day bowel prep and virtual colonoscopy exam regimen offers sufficiently good image quality, making life easier for both patients and providers compared to a multiday regimen, according to a study presented Sunday at the European Congress of Radiology (ECR).
Researchers from the University of Rome "La Sapienza," known among others in the field as experts of limited-prep virtual colonoscopy (also known as CT colonography or CTC), found that the one-day regimen using iodinated oral contrast didn't reduce polyp sensitivity versus more time-consuming and patient-unfriendly regimes.
Previous studies have shown that using less bowel preparation doesn't impair lesion detection in VC, "and now the attention is on same-day preparation," said Dr. Riccardo Ferrari in his presentation. "Diatrizoate meglumine-diatrizoate sodium [DD] is often used for fecal tagging because it has a high iodine content and high osmolarity."
![]() |
| All images courtesy of Dr. Riccardo Ferrari. |
The study compared three different bowel preparations of 30 subjects each who followed three different colon preparations containing DD iodinated contrast. All groups consumed a low-fiber diet for three days before their exams. The bowel prep regimens were as follows:
- Group 1: 180 mL of DD the day before the examination
- Group 2: 100 mL of DD the day of the examination two hours before VC
- Group 3: 50 mL of DD the day of the examination, two hours before VC, in addition to a low-dose polyethylene glycol (PEG) solution for the two days preceding the exam (one 10-g sachet per day PEG x 2)
All subjects were asked to drink at least 1.5 L of water the day before and the day of the exam, Ferrari said.
VC was performed using a 64-detector-row CT scanner upon the arrival of patients in group 1. For groups 2 and 3, VC was performed two to three hours after the administration of DD. The investigators followed a low-dose scan protocol for all exams, using 70 mAs for both prone and supine scans. Optical colonoscopy served as the gold standard for performance analysis of all exams.
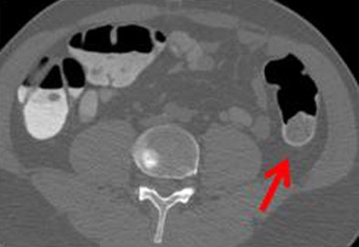
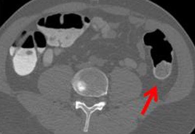
Two expert readers were asked to perform a qualitative analysis of the images, sorting their results into six colonic segments (rectum, sigmoid, descending, transverse, ascending, and cecum). They rated each of the six segments on a quality score that ranged from 1 to 4, with four being optimal.
![]() |
| Poor quality (1, above) means there is significant stool that is incompletely tagged; average (2, below) denotes that some incompletely tagged stool is present; and medium (3, bottom image) represents good overall quality with some stool that is not completely tagged. Superior quality (4) is generally not obtained in reduced-prep regimens. |
![]() |
![]() |
Subjects were asked to report any side effects, including the number of evacuations.
![]() |
![]() |
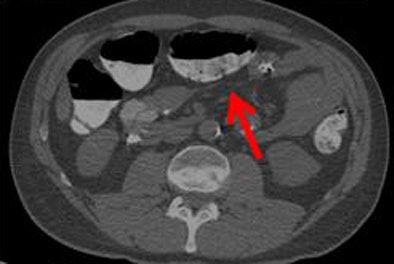
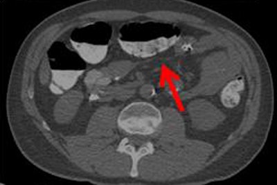
The qualitative analysis demonstrated that the "medium image quality was in the group that used a major amount of DD beginning the day before the VC scans, because there is time for the DD to mix with water and feces in the colon," Ferrari said.
Same day preparation is a feasible technique with the lowest number of side effects; the image-quality results obtained with a higher dose of DD administered the day before the examination remained better, though patients fared worse with more of the DD agent.
The mean numbers of evacuations reported by patients during the prep were as follows:
- Group 1: 8.3
- Group 2: 6.1
- Group 3: 3.2
Group 1, which ingested the highest DD dose, experienced the greatest number of side effects. One patient in group 1 reported a headache, while "three patients in group 1 and two patients in group 2 reported mild abdominal pain," Ferrari said.
"The reduction of DD reduced the quality of tagging in groups 2 and 3," and radiologists' performance with regard to sensitivity and specificity was comparable to that found in the literature, Ferrari said.
The group 1 studies had a lot of fluid that was well tagged, while groups 2 and 3 showed untagged stools that didn't generally reduce performance.
"Same-day preparation is a feasible technique," he concluded. "The better quality of tagging is obtained, of course, giving more DD and [administering it] the day before, but we have to remember it is an off-label use," he said. "Even if we have very few adverse reactions, iodinated contrast should not be used outside the hospital."
Using a low same-day dose of DD, "we obtained a reasonable quality of tagging, and we reduced dramatically the number of side effects," Ferrari said, adding that patients are very favorably disposed to the idea of a one-day test that doesn't require them to take laxatives at home.
There is still research to do, he said, including linking the amount of DD to the patient's weight, and finding a way to speed up passage of the DD so the patient doesn't have to wait two hours for the exam.
Finally, patients need to be followed up after they leave the hospital to determine if there are any side effects that occur more than two hours after administering the iodinated agent, Ferrari said, though no persistent side effects have been reported, and no allergies to the iodinated agent have been reported.
In comments following the talk, Dr. Anno Graser from the University of Munich in Germany said he disagreed with the researchers' absolute contraindication of iodinated oral agents outside the hospital.
In Munich, patients routinely ingest the DD at home, using "PEG with just 50 mL of iodinated contrast the morning of the scan," Graser said. "Of course we know there might be a few allergic reactions, but we interview patients on the phone before administering it, and I ask them if there's any history of iodine reaction. And so far, with these very low concentrations, we've not had any problems."
Ferrari said he agreed, and that no problems have been reported at his center either. However, the department began administering iodinated agents only at the hospital out of an abundance of caution. A plan of action would need to be in place in the event something did occur, he said.
By Eric Barnes
AuntMinnie.com staff writer
March 7, 2010
Related Reading
VC researchers weigh 3 iodine tagging regimens, September 21, 2009
Sophisticated electronic bowel cleansing boosts polyp detection, August 3, 2009
Minimal prep VC nearly as sensitive, better tolerated, March 7, 2009
Image tools cut false positives in unprepped VC, August 4, 2008
VC CAD finds polyps in prepped or unprepped patients, May 6, 2008
Copyright © 2010 AuntMinnie.com























