Oncology Systems is supplying its SpaceOAR hydrogel radiotherapy system to Belfast City Hospital in the U.K. as part of a National Health Service (NHS)-sponsored trial.
The stereotactic prostate radiotherapy (SPORT) in high-risk localized prostate cancer trial, led by Dr. Suneil Jain, is designed to evaluate a new way of delivering radiotherapy to men with prostate cancer. Stereotactic ablative body radiotherapy (SABR) allows for the treatment of prostate cancer with high doses of radiation delivered with as few as five treatments rather than more than two dozen.
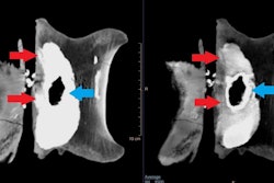
The SpaceOAR works by placing a small amount of gel between the prostate and rectum, a prostate spacer, to increase the distance between them and thus reduce the radiation dose received by the rectum during treatment.



















