Deep-learning, radiomic-based models can be used to predict response to immunotherapy and survival in patients with advanced hepatocellular carcinoma (HCC), according to a report published in the Journal of Hepatology on 15 April.
Prof. Rohini Sharma, professor and consultant in medical oncology and clinical pharmacology at Imperial College London, led an international team in using deep learning in concert with machine learning to develop and validate an integrated radiomic-clinical model for predicting both survival and response to atezolizumab with bevacizumab from pretreatment imaging in patients with HCC.
While combination immunotherapy using immune checkpoint inhibitors (ICIs) such as atezolizumab with bevacizumab is the first-line treatment for advanced HCC, only one-third of patients respond to immunotherapy. Moreover, as HCC is the third-leading cause of cancer mortality globally, developing strategies for effective treatment is imperative. Unlike with other tumor groups, there is a lack of markers for HCC, which makes designing molecular-based precision therapies for it challenging.
However, the authors noted that while HCC may lack markers, studies have shown that along with the HCC tumor, the underlying liver tissue influences the tumor’s progression and cancer survival.
“Therefore, radiomic features generated from both the HCC tumor and background liver could be used for theragnostic prediction,” they posited.
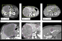
The research team aimed to test seven machine-learning models with 13 feature-selection techniques in predicting clinical outcomes following treatment of patients with advanced HCC with atezolizumab and bevacizumab as combination immunotherapy, using radiomic features from CT imaging performed prior to treatment.
Integrated predictive models incorporating radiomics and clinical features were then used to stratify the patients across two different cohorts, one in the U.K. and the other in France.
The retrospective study included a total of 152 consecutive patients with advanced HCC (diagnosed histologically or radiologically) as members of two cohorts: 62 patients were from Imperial College London Nation Health Service (NHS) Foundation in the U.K., labeled the ICL cohort; and 90 were from the Assistance Publique-Hôpitaux de Paris, Hôpital Avicenne, France, known as the AP-HP cohort.
After analysis, the results showed that the radiomics-based machine-learning models, when coupled with deep-learning autosegmentation, could outperform established clinical benchmark variables in predicting clinical outcomes. Furthermore, not only was the integrated radiomic-clinical model able to predict responses to immune checkpoint inhibitors, it was also better at predicting overall survival and progression-free survival than known clinical predictors. The predictive ability of the model was consistent across both cohorts.
“Deep learning in combination with machine learning can stratify patients and allows for precision treatment strategies,” the authors wrote.
Read the full study here.

















