A research group based in Saclay, near Paris, has taken the wraps off what it claims are the world's first MRI scans of the human brain in vivo taken at a field strength of 11.7 tesla. President Emmanuel Macron has congratulated the researchers on social media.
"The first images surpassed our expectations, giving after just four minutes, mind-blowing brain images without any artifacts, with superb tissue contrast and resolution, which represents a volume equivalent to a few thousand neurons," Prof. Denis Le Bihan, PhD, founding director of the NeuroSpin research facility and founder of Iseult Project of the French Alternative Energies and Atomic Energy Commission (CEA), told AuntMinnieEurope.com on 3 April. "Such images would require hours to obtain with conventional MRI systems."
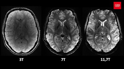
Axial view of the human brain at the same resolution (0.2 mm in-plane resolution and 1 mm slice thickness), with an identical acquisition time of around four minutes but at different magnetic field strengths. At 3 tesla and at 7 tesla (only three such machines in France and around 100 worldwide), the precision and sharpness are lower. At 3 tesla, a "grainy" cloud prevents the anatomical structures of the brain from being clearly delineated. At 7 tesla, when zooming, the level of detail at this resolution is reduced. At 11.7 tesla, the scan provides more signals and greater contrasts between biological tissues, which allows more detailed exploration of the brain. All images courtesy of CEA.
The images were acquired over a six-month period on a cohort of 20 healthy young volunteers, he explained. Extensive physiological, biological, and cognitive tests were performed, including genotoxic analyses, to confirm the safety of the large magnetic field on humans.
According to Le Bihan, "With such a high resolution, we might visualize small intracranial vessels with a diameter of less than 0.3 mm and perivascular spaces, to investigate "small scale" diseases: perfusion deficits in chronic stroke, neuroinflammation in grey and white matter (e.g., multiple sclerosis, potential implications of small vessel inflammation in long COVID), developmental (neuronal migration) anomalies as seen in intractable epilepsy, and valuable information which could be critical for treatment planning."
The hippocampus (Alzheimer's disease, sclerosis in intractable epilepsy) will be seen with unprecedented details, he added. "Enhanced magnetic susceptibility contrast should give us more insights on diseases associated with iron deposits (Parkinson's disease) for early and more specific diagnosis."
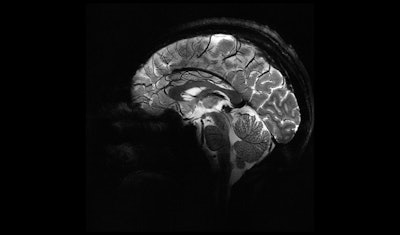
Sagittal view of the brain at 11.7 tesla makes it possible to visualize the cerebellum in very fine detail.
In addition to brain anatomy, the group will now aim to implement and improve methods beyond structural imaging, such as functional MRI and diffusion MRI, to visualize neural circuits and brain connections. An important element will be investigating the relationship between brain function and underlying structure at the mesoscopic level (cortical layers and columns), which could hide a "neural code" underlying our cognitive abilities, language, calculus, etc., Le Bihan continued.
The hope is to better understand the mechanisms associated with the origin or the expression of mental disorders, schizophrenia, bipolar disorders, autism, etc. "In some way, those defective connections result in mis-synchronizations in the connectome, so that such diseases might be considered brain spacetime disorders. More generally, correlating the states of consciousness to the connectome landscape status may also be the subject of exciting research," he noted.
The 11.7-tesla scanner will also put MR spectroscopy "at our fingertips for clinical applications, for instance for monitoring the spatiotemporal distribution of lithium in patients with bipolar disorder or noninvasively investigate altered metabolic pathways, cellular homeostasis, signaling pathways, with the potential to characterize many brain diseases (gliomas, neurodegeneration, etc.) and individualize treatment planning and therapy monitoring of neurological disorders."
President Emmanuel Macron offered his congratulations to the research team on social media on 2 April.
The project involves more than 200 people from both the CEA and partners from industry and academia: Alstom (now GE), which manufactured the magnet; Siemens Healthineers, which installed the additional peripheral equipment in the MRI system; Guerbet, which supplied the contrast agents and used the ultrahigh-field MRI platform at the CEA to assess and select compounds that demonstrate significant potential for use in humans; and the University of Freiburg in Germany, which developed new technologies and methods for ultrahigh-field MRI scans.
In a press release dated 2 April, Nicolas Boulant, PhD, now head of the Iseult Project and director of research at the CEA, emphasized that it would take several years of research to develop and improve acquisition methods and ensure that the data are high quality. "Our goal is to investigate neurodegenerative diseases by 2026-2030, as well as other diseases that fall more under psychiatry, such as schizophrenia and bipolar disorders. Cognitive sciences will also be of key importance in our research."
For further information and to watch a video about the project, go to the CEA website.




















