
Researchers from Spain have collected a prestigious international award for their evaluation of patients with unilateral cleft lip and palate for treatment planning and follow-up from birth to adulthood. Now they're working on how 3D-printed models can further enhance care.
Cleft lip and palate are the most common congenital craniofacial anomalies, occurring in about one out of every 700 live births. Treatment is important for aesthetic and functional reasons, and it requires a multidisciplinary and multistep approach. Radiologists must know what imaging modality to choose and which findings to look for, explained Dr. Marta Gómez-Chiari, a pediatric neuroradiologist at Hospital Sant Joan de Déu in Barcelona, and colleagues in an e-poster presentation at RSNA 2017 that received a magna cum laude award.
"Proper imaging analysis has a key role in monitoring the patient and helping the surgeon and orthodontist to decide on the best treatment decision at every stage, and to facilitate evaluation of the outcome of alveolar bone grafts," they noted.

A cleft can be an isolated malformation or one part of more than 400 genetic syndromes, and often these deformities affect speech, hearing, and cosmetic look. They may also lead to airway compromise. In addition to orthodontic measurements, qualitative evaluation of the relationships between the teeth, soft tissue, and the skeleton are needed after cheiloplasty and palatoplasty. For skeletal growth, analysis of craniofacial morphology is important, while asymmetric maxillofacial growth is influenced by initial severity of the cleft or scarring of palate after primary surgery, Gómez-Chiari explained, noting that her hospital is a referral center that sees about 35 new bone-graft patients each year.

Midface growth deficiency is characterized by shorter maxillary length and height, maxillary retrusion, short velum, and constricted maxillary and deep palate. An important dental arch relationship is the dentition stage against the position of the central incisors, while dental anomalies within the cleft region may include missing maxillary lateral incisors, supernumerary teeth, ectopic teeth, malformed roots, and abnormalities of teeth size or shape.
Factors to bear in mind
The authors reviewed skeletal maturation and associated dentofacial anomalies that might influence treatment approach. Their main aims were to determine the most appropriate imaging technique at every stage of treatment and follow-up and to show which radiological findings are vital. They also wanted to outline what should be looked for before and after bone grafts and to ensure appropriate dental eruption and occlusion in long-term follow-up.
In a radiological evaluation, look for anatomical abnormalities, including profile facial view (straight/convex/concave), malocclusions, upper airway, short velum, high pharynx, large nasopharyngeal gap (short palate and the deep nasopharynx), and short maxillary, the authors stated. Also important can be the dentition stage, evaluation of dental abnormalities, facial structures (maxillary, mandibular dental arches), and the temporomandibular joint.
"In a cephalometric examination, look for abnormalities in the sagittal plane, including the upper airway. In an orthopantomogram, check the dentition stage, dental anomalies, malformed roots, and malocclusion," they added.
| Treatment and imaging time table | |||||
| Fetal < 12 months | 8-9 years old | 16-18 years old | |||
| Treatment | Primary surgery: Cheiloplasty at 6 months; palatoplasty at 9 months | Before alveolar bone grafting: Orthodontic treatment to correct dental anomalies; maxillary expansion to correct transverse maxillary deficiencies | Alveolar bone grafting depending on the stage of canine eruption | Orthognathic surgery and lip or nasal revision can be necessary in adulthood | |
| Imaging technique | Ultrasound, MRI | Not necessary | CT usually not necessary. Follow up with cephalometrics and orthopantomogram | CT planning before alveolar bone grafting | CT after alveolar bone grafting at 4-6 months. Follow up with cephalometrics and orthopantomogram |
For alveolar bone graft planning, use CT with multiplanar reconstructions (MPR) and surface volumetric (3D), the authors recommended. For planar measurements, axial and coronal CT scans and volumetric measurements before bone grafting give a more accurate picture and help with surgical planning.
"Three-dimensional CT data is especially helpful in evaluating patients with severe craniofacial asymmetry, because they do not suffer from the magnification and distortion-related problems inherent in 2D projections," the authors wrote.
Osteogenesis after palatoplasty is a common and normal finding without treatment implications. Autogenous alveolar bone grafting, usually from cancellous iliac crest, is considered to be an essential serial treatment for restoration of maxillary continuity and canine eruption. Preferably the procedure should be done during the mixed dentition stage and before eruption of the permanent canines, which happen at the age of 8 to 9, they continued.
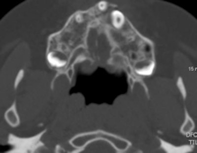
An 8-year-old girl with unilateral cleft lip and palate. Planar measurement (axial) and volumetric measurement before the alveolar bone graft (volume: 1.43 cc3).In the four- to six-month follow-up after alveolar bone grafting, the outcome checklist comprises assessment of bone bridge development (osseointegration), measurement of the bone volume of the graft on 3D CT, checking for the presence of oronasal fistula, and evaluation of facial symmetry. Reabsorption of the bone graft occurs mainly during the first postoperative three months and is closely related to long-term outcome, while normal resorption after one year can be up to 30% to 50% of the original graft volume.
Same 8-year-old girl. Planar measurement (axial) and volumetric measurement after the alveolar bone graft (volume: 0.72cc3).When evaluating bone grafts with 3D CT, bone loss is more prominent in the bucco-palatine direction, and if resorption is higher than 50% or there is lack of normal eruption of adjacent teeth, graft failure should be suspected, according to Gómez-Chiari. Facial symmetry can be assessed by measuring the height from the pyriform aperture to the apex of the upper incisor in a coronal plane.
Successful orthognathic surgery can lead to eruption of permanent lateral incisor or canine in the bone grafted area and stabilization of the maxillary segments to form a continuous arch form. Surgery restores the proper anatomic and functional relationship in patients with dentofacial skeletal anomalies -- maxillofacial abnormalities, including congenital, developmental, and acquired deformities, she pointed out.
Looking to the future, the group is working on developing 3D printing of models of cleft lip and palate. They are impressed by the work of Swiss and U.K. doctors who produced a free, downloadable template for 3D printing of anatomical models of unilateral and bilateral cleft lip. The models stem from an idea of Dr. Yoshiaki Hosaka from Showa University in Tokyo.



















