
Surgeons in France used a 3D-printed model of the spine to simulate and hone a new robot-guided procedure on a 6-year-old boy with severe scoliosis. The young patient had such a severe combination of progressive scoliosis and spinal muscular atrophy (a neuromuscular disorder) that he was unable even to sit down.
Due to the complexity of the child's condition, a team of surgeons from Amiens-Picardie University Hospital spent more than a year preparing a specialized operation that employed a new robot-guided technique. Pediatric orthopedic surgeon Dr. François Deroussen, neurosurgeon Dr. Michel Lefranc, and head of the hospital's pediatric surgery department Dr. Richard Gouron, PhD, led the planning process.
The 3D-printed model of the spine. All image courtesy of Amiens-Picardie University Hospital.A major component of the preparation included practicing the new surgery, which the physicians accomplished using 3D printing. First, the group created a 3D reconstruction of the child's chest cavity, and then they used that information to print an exact replica of the patient's spine at the SimUSanté training center affiliated with the hospital. Finally, they situated the resulting 3D-printed spine model into a mannequin the same size as the child.
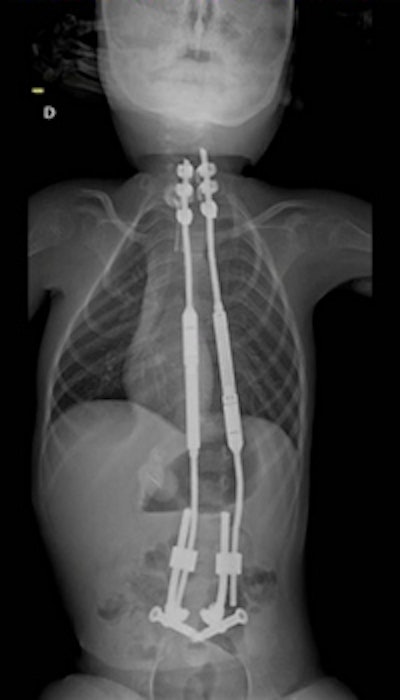
X-ray displaying spinal stem implants.The team used their 3D-printed model of the child's spine to simulate a robot-guided minimally invasive procedure, which enabled them to perfect their timing and fine-tune their surgical precision. The challenge of inserting 7-mm iliosacral screws into a bone corridor that was 8-mm wide proved possible with the support of a robotic surgical assistant (ROSA, MedTech).
Simulating the surgery on a 3D-printed model ultimately decreased actual operation time and minimized the risk of complications, according to the group. The success of the procedure helped prevent the onset of potential complications of scoliosis and also allowed the child to sit comfortably for the first time. The actual surgery took place on 28 September.
Amiens-Picardie University Hospital has already scheduled four other young patients for similar procedures. Moreover, the team of surgeons is working on formalizing their protocol so that other institutions can begin training in these techniques.



















