Dear AuntMinnieEurope Member,
When it comes to global radiological double acts, Drs. Steve Baker and Hans Blickman are a powerful team. Their opinions have substance and clout, and most people listen when they speak.
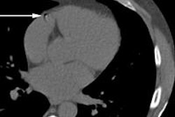
The duo's latest campaign is to question the use of electronic arrows on CT scans. Their well-written and concise editorial makes compelling reading and may well have a big impact on clinical practice. Go to our CT Community, or click here.
The French congress of radiology, JFR, is approaching fast, and some important changes are planned this year. Our Associate Editor Frances Rylands-Monk, who is based in Northern France, has interviewed the congress president, Dr. Hubert Ducou Le Pointe. For the inside track on JFR 2015, click here.
French radiology said goodbye to one of its elder statesmen last week, when Dr. Philippe Rouleau sadly passed away. For 20 years, he organized a JFR session about tropical imaging. Not surprisingly, tributes are already being made. To find out more about his contribution to radiology, click here.
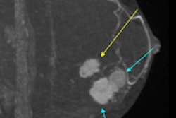
Meanwhile, researchers from a top South Korean facility have studied patients who underwent mammography, digital breast tomosynthesis plus mammography, and MRI plus mammography. They have just published their findings in European Radiology, and their comparison of these modalities is very revealing. Visit our Women's Imaging Community, or click here.
In cardiac imaging, a Dutch group has built an algorithm that identifies and quantifies coronary artery calcium from CT scans, paving the way for faster deployment of a test that is increasingly important in measuring the likelihood of heart disease. Get the full details here.
And don't miss this week's case of an 8-year-old autistic boy who presented to the emergency department with severe bilateral leg pain and difficulty walking. It's one of the most shocking reports we've published since our launch nearly five years ago. Take the test here.


















