Clinical News
Informatics
Industry News
Medical, Legal, And Practice
Education
Subspecialties
More
Sign In
Breast Imaging
CV
Chest
Emergency
GI
GU
Head & Neck
Interventional
Physics
MSK
Neuro
Nuclear
Pediatric
Radiation Oncology
Neuroradiology: Page 2
MRI finds brain shape changes may be linked to dementia
By
Kate Madden Yee
One of the study's implications is that brain shape changes in the entorhinal cortex could contribute to the development of disease.
October 6, 2025
Affidea opens first neurology care facility in Athens
By
AuntMinnieEurope.com staff writers
Affidea Group has opened its first neuraCare Centre in Athens, marking the planned rollout of a European network.
October 1, 2025
From script to scanner: Downton Abbey creator lauds focused ultrasound
By
AuntMinnieEurope.com staff writers
The creator of "Downton Abbey" and "The Gilded Age
,"
Lord Julian Fellowes, has spoken about his treatment for essential tremor with MR-guided focused ultrasound.
September 19, 2025
DRG puts fresh emphasis on Alzheimer's therapies
By
AuntMinnieEurope.com staff writers
The German Roentgen Society (DRG) will co-host an online educational session that aims to update radiologists about new Alzheimer's therapies.
September 19, 2025
ChatGPT gathers momentum in MR imaging
By
Philip Ward
ChatGPT-4 can enhance clinical workflow by recommending case-specific MRI protocols, optimizing protocol selection, and leading to relevant acquisition time savings, a new German-led study has found.
September 16, 2025
GEHC reveals plans to acquire Belgium’s icometrix
By
Philip Ward
GE HealthCare (GEHC) has agreed to acquire icometrix, the Leuven-based developer of AI software for analysis of neurological disorders on brain MRI exams.
September 10, 2025
What’s new at JFR 2025, Mr. President?
By
Frances Rylands-Monk
Part 2 of our exclusive face-to-face interview with JFR 2025 President Prof. Mathieu Lederlin focuses on what attendees can expect at the congress, which begins in Paris on 3 October.
September 8, 2025
fMRI: Cognitive behavioral therapy positively affects the brain
By
Kate Madden Yee
The findings confirm the efficacy of the treatment, researchers have reported.
August 29, 2025
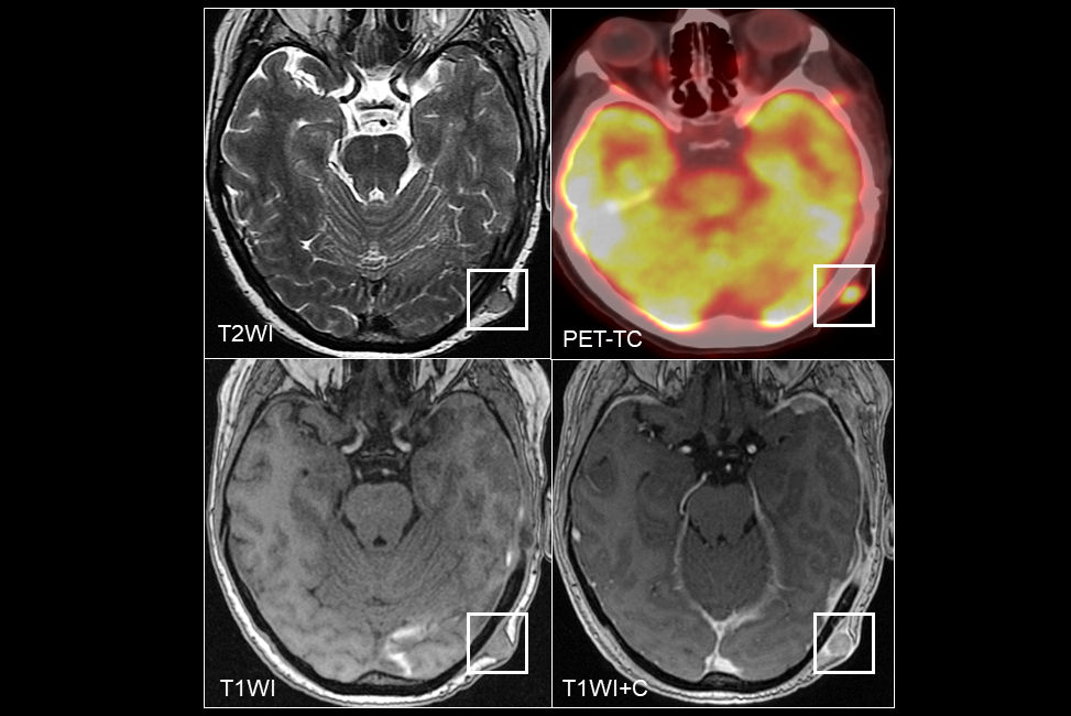
MRI supplies answers in complex cases of brain metastases
By
Philip Ward
MRI is proving essential for detecting both parenchymal and nonparenchymal brain metastases, including those at extracranial sites, award-winning Spanish experts have found.
July 31, 2025
Neuroradiology gives hope to pulse-synchronous tinnitus patients
By
AuntMinnieEurope.com staff writers
A form of tinnitus that may indicate serious vascular issues often can be successfully diagnosed and treated, the German Society for Neuroradiology has noted.
July 28, 2025
SERAM highlights imaging advances for head trauma
By
AuntMinnieEurope.com staff writers
Ahead of World Brain Day on 22 July, the Spanish Society of Medical Radiology (SERAM) is highlighting the value of CT and MRI in assessing head trauma.
July 21, 2025
Tragedy in Scotland puts focus on workplace culture
By
Philip Ward
The tragic case of a neuroradiologist who died by suicide has cast light on the scale of the mental health difficulties faced by many doctors and the essential need to establish adequate safeguards to protect all employees.
July 8, 2025
Previous Page
Page 2 of 60
Next Page