Body Imaging: Page 22
Fujifilm highlights results from Denmark D-Evo install
February 28, 2018
Size matters: Belgians scoop ECR 2018 prize for dose study
February 27, 2018
German survey puts focus back on incidental findings
February 26, 2018
ContextVision to highlight VolarView, GOPView at ECR
February 25, 2018
New tribute posted to Judith Adams
February 13, 2018
Hologic launches new mini C-arm system
February 5, 2018
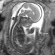
MRI sheds new light on fetal MSK abnormalities
January 29, 2018
X-ray fluorescence detects retained gadolinium in bone
December 27, 2017
Case of 3D-printed hip in Germany makes headlines
December 18, 2017






