Thoracic Imaging: Page 5
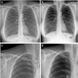
Dark-field chest x-ray images compared to conventional x-rays
February 23, 2023
Avicenna.AI launches pulmonary embolism program
February 21, 2023
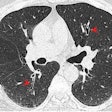
Novel study investigates impact of marijuana on lungs
November 17, 2022
Can radiographer reporting play a wider role in lung cancer?
November 10, 2022
Investigation reveals how stressed radiologist missed cancer
November 6, 2022











