Womens Imaging: Page 57
Norwegians celebrate award for cancer screening paper
April 27, 2020
U.K. staffing crisis deepens, RCR asserts
April 20, 2020
Keep family close in a crisis, Kuhl urges
April 13, 2020
Kuhl: COVID-19 is a crisis of biblical proportions
March 25, 2020
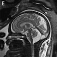
MRI helps create measures for normal fetal development
March 24, 2020
Breast screening suspended in Wales due to coronavirus
March 22, 2020












