MRI: Page 20
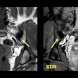
MRI sheds light on axial spondyloarthritis
January 25, 2024
Malta announces expansion of MRI installed base
January 22, 2024
Irish radiologist returns to work after 3-week suspension
January 16, 2024
How much subspecialization do we really need in radiology?
January 16, 2024
Point-of-care decision support reduces unnecessary imaging
January 15, 2024
AIRS Medical gets CE certification for SwiftMR tool
January 12, 2024
Cannabis and the brain: What's the long-term impact?
January 9, 2024
Medic Vision’s iQMR AI software cleared in the U.K.
January 3, 2024
Suspension of senior Irish radiologist sparks lively debate
January 2, 2024
Clinical support builds for DBT-guided breast biopsies
December 20, 2023












