Dear Molecular Imaging Insider,
Prostate cancer staging is a rapidly evolving area, and PET/MRI is generating particular excitement among researchers.
The preliminary results of an intriguing new study conducted at the prestigious IRCCS Ospedale San Raffaele in Milan have been unveiled recently. Given the complex nature of research like this, it's understandable that the sample size was relatively small, but the findings still deserve a close look in an article posted today.
Another hot topic right now is PET/CT's role in tracking COVID-19 infection. At last week's Society of Nuclear Medicine and Molecular Imaging (SNMMI) annual meeting, a team from India elaborated on how F-18 FDG PET/CT can help to evaluate post-COVID lung disease. Find out more in our report from the congress.
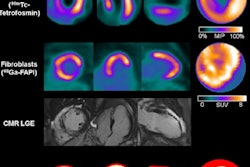
German groups appear to win the SNMMI's Image of the Year award on a regular basis, and investigators from Hannover Medical School collected this year's award.
They used a gallium-68-labeled (Ga-68) radiotracer designed to bind to fibroblast cells (Ga-68 FAPI-46) and performed fibroblast-activation protein inhibitor (FAPI)-PET imaging in 35 patients several days after they experienced a heart attack. The team found that the FAPI-PET signal in injured heart muscle predicted heart dysfunction in patients more than four months later.
In other news, there's a real prospect of hackers using brain PET scans to recognize patients' faces, and the threat is sufficient to warrant "de-facing" PET images from research studies before sharing data, according to a study from the Mayo Clinic in Rochester, Minnesota, U.S.
Nuclear medicine specialists from France have found that an artificial intelligence algorithm can enhance image quality in half-count F-18 FDG-PET scans. This finding paves the way for significant cuts in acquisition time in routine clinical practice, they say.
Earlier this month, the latest census report from the U.K. Royal College of Radiologists highlighted serious workforce shortages, including in molecular imaging.
In this letter, we've highlighted only a few of the reports posted in the Molecular Imaging Community. Please scroll through the full list below, and feel free to contact me if you have ideas for future coverage.




















