CT: Page 88
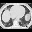
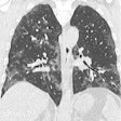
COVID-19 signs on chest CT differ by patient age
April 6, 2020
U.K. COVID-19 imaging database aims to improve care
April 5, 2020
Sydney startup launches COVID-19 training tool
April 5, 2020
ESR, ESTI issue joint advice on COVID-19
April 2, 2020
6 radiology clinic staff test positive for COVID-19
April 1, 2020
Parma team shares experiences of COVID-19 pandemic
April 1, 2020
Achenbach insists CT has role in COVID-19 cases
March 30, 2020
What economic impact is COVID-19 having on imaging?
March 30, 2020











