
When it comes to COVID-19 scans at the world-famous Radboud University Medical Center in Nijmegen, the Netherlands, CT radiographers work in pairs: One wears only minimal personal protective equipment (PPE) in a clean environment (e.g., the control room), while the other works with full PPE in the potentially contaminated preparation or scanning room.
The radiographer working in the contaminated zone disinfects anything the patient or the accompanying emergency room staff touches, but there is no time-consuming deep cleaning of the CT room at regular intervals, Dr. Mathias Prokop, PhD, professor and head of radiology, told AuntMinnieEurope.com.
Dr. Mathias Prokop, PhD.In the past six or so weeks, the hospital has performed approximately 700 CT exams for COVID-19, with around 10 to 25 patients seen per day and, initially, a 40% positive rate (at polymerase chain reaction). This range has narrowed to 10 to 15 patients per day with a positive rate of 20% in the past two weeks, according to Prokop, who noted that disease prevalence is decreasing in response to the "intelligent lockdown" introduced by the country.
At Radboud University Medical Center, moderately to severely symptomatic patients who risk hospital admission undergo both CT and polymerase chain reaction (PCR) testing. Patients with mild or moderate clinical symptoms but a negative CT scan or one showing mild lung involvement are sent home and regularly monitored by telephone to check for deterioration, regardless of the PCR result. Those with substantial lung involvement on CT but mild clinical symptoms are hospitalized. This effectively means that CT scans are used as a crucial factor in determining lung involvement prior to hospital admission, particularly given that PCR test results may take up to a day to materialize, he commented.
Before the PCR test result is known, patients with a score of 4 or 5 on the new COVID-19 Reporting and Data System (CO-RADS) are sent to an isolation ward and are treated as COVID patients. Isolation is to prevent patients from becoming infected, should repeat PCR turn out to be negative. When the test is positive, the patients are then sent to a dedicated COVID-19 ward where patients are not strictly isolated from one another.
Dutch database and CO-RADS
Different societies in the Netherlands are teaming up to create a database of COVID-19 cases, according to Prokop. Paperwork is nearing completion, as hospitals are consenting to allow the organizers access to thousands of COVID-19 cases, as well as data on hospital stay and lab results.
The database aims to speed up COVID-19 research in terms of assessing severity, prognosis, and treatment effects and creating prediction models -- to determine, for example, whether intensive care unit admission can be predicted earlier. Informed consent processes would be optimized at a national level, allowing for speedy inclusion of cases in the database, through forms provided to patients at hospitals. He added that building the database could start imminently.
Because CT is superior to x-ray for detecting and assessing COVID-related lung involvement, Radboud radiologists have opted for low-dose CT as their primary imaging tool as an adjunct to reverse transcription PCR testing for diagnosing the disease in patients with moderate to severe symptoms presenting at the emergency room.
Moreover, CO-RADS is now a standardized tool to assess the suspicion of pulmonary involvement of COVID-19 on chest CT. The system was developed in mid-March by the COVID-19 reporting group of the Dutch Society of Radiology, inspired by similar systems such as BI-RADS, Lung-RADS, or CAD-RADS, and in response to increasing reports that PCR tests may be initially negative in COVID-19 patients.
"While PCR remains the reference standard for diagnosing COVID-19, in clinical practice this may require repeated testing including deep bronchial or fecal samples and may be hampered by scarcity of the tests in high-prevalence areas," Prokop said. "CT, on the other hand, provides instant feedback about the suspicion of COVID-19."
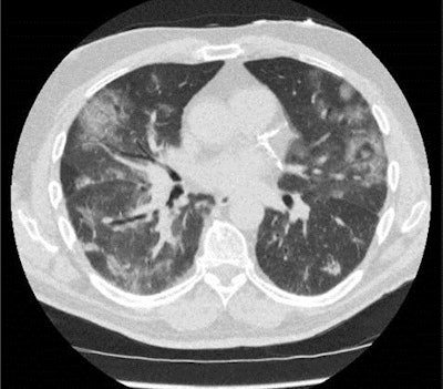
Low-dose CT shows a patient with a score of CO-RADS 5. Image courtesy of Dr. Mathias Prokop, PhD.CO-RADS encodes the suspicion of lung involvement of COVID-19 on a scale from 1 (very unlikely) to 5 (very likely) and is meant to be combined with a CT severity score that assesses the extent of pulmonary involvement. It is aimed at high-prevalence settings such as when hospital admission is considered and COVID-19 is part of the differential diagnosis.
Prokop pointed to a validation study of CO-RADS on more than 100 randomly selected cases with moderate to severe symptoms who were scanned using low-dose chest CT at the medical center. Using a positive PCR test result as the gold standard, receiver operating characteristic analysis of CO-RADS yielded an average area under the curve of more than 0.90.
"In patients presenting with moderate to severe symptoms, 20% to 50% of whom have the disease, the CO-RADS score works well," he noted. "The CT protocol requires a dose-length product of some 40 mGy-cm, which translates into an effective radiation dose of well below 1 mSv. COVID-19 can kill, so we are happy with this optimized dose."



















