
Chest CT findings in patients with COVID-19 differ by patient age, according to a new study published in the European Journal of Radiology. The results could assist clinicians in developing personalized treatment for COVID-19 patients.
"These study findings are likely to help with understanding and evaluating the condition of infected patients of different ages, and provide insight into the possible subsequent evolution of the disease in infected patients of different ages, which should facilitate more accurate diagnosis and the development of treatment strategies," wrote a team led by Dr. Zuhua Chen of Zhejiang Chinese Medical University in Zhejiang, China.
Early COVID-19 research has shown that children and young people have milder symptoms and better prognoses than middle-aged and elderly people, the group noted in the article (Eur J Radiol, 24 March 2020).
The researchers sought to explore whether COVID-19 patients of different ages would have different findings on chest CT, so they conducted a study that included 98 patients divided into four age groups: younger than 18 years, 18 to 44 years, 45 to 59 years, and 60 years or older. Of these patients, 79.6% had been in direct or indirect contact with people from Wuhan, China, where the virus was first identified. All patients underwent a reverse transcription polymerase chain reaction (RT-PCR) assay as well as high-resolution chest CT exam.
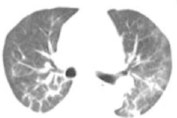
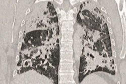
The team found that, overall, ground-glass opacities and consolidations were the main CT signs of COVID-19 disease. But there were some differences in CT findings by age, which included the following:
- Patients between the ages of 45 and 59 and those 60 and older had more bilateral lung, lung lobe, and lung field involvement, and greater lesion numbers than patients younger than 18.
- Ground-glass opacity along with interlobular septa thickening or a crazy-paving pattern, consolidation, and the air bronchogram sign were more common in patients between the ages of 45 and 59 and those 60 and older than in those younger than 18 or between 18 and 44.
| COVID-19 chest CT features by age group | ||||
| Chest CT feature | Younger than 18 | 18-44 | 45-59 | 60 and older |
| Pure ground-glass opacity | 5 | 139 | 52 | 37 |
| Ground-glass opacity with crazy-paving pattern/interlobular septa thickening | 1 | 82 | 134 | 125 |
| Mixed ground-glass opacity with consolidation (< 50%) | 3 | 23 | 14 | 5 |
| Pure consolidation | 1 | 13 | 11 | 5 |
| Mixed ground-glass opacity with consolidation (≥ 50%) | 0 | 15 | 24 | 12 |
Chen and colleagues hope these results will help clinicians develop more effective COVID-19 treatments.
"In this study, the key finding is that the middle-aged and elderly patients have the most severe representation of parenchymal findings, and follow with the morphological appearance that seems to be particularly limited in the youngest group, which provides certain support for clinical individualized treatment of patients of different ages," the team wrote.


















