
In almost 9% of cases, the recommended referral guidelines for breast MRI examinations are not followed, according to an audit conducted at a district general hospital in northwest England and presented at the recent U.K. Radiological Congress (UKRC) held in Liverpool.
"The use of breast MR to look for residual disease following wide local excision is rarely performed and seldom leads to further management of the patient," noted Dr. Christopher Hilditch, a radiologist at Macclesfield District General Hospital, near Manchester. "From our experiences, we recommend that breast MRI is a valid alternative to biopsy in selected low-risk patients."
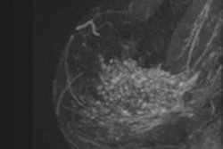
MRI is regarded as the most accurate technique for diagnosing and delineating the extent of both invasive and in situ breast cancer, and the modality correlates well with pathology and can detect additional foci of disease that is occult -- both clinically and on mammography and ultrasound -- and can change patient management, he explained.
Hilditch and his co-author, Dr. Christopher Loughran from Macclesfield, noticed there was an increase in the number of referrals for breast MRI, and they carried out an audit to determine whether the technique was used appropriately.
"Referral for breast MRI should be a multidisciplinary team decision based on availability," they noted. "The indications for breast MRI published in Clinical Radiology, the journal of the Royal College of Radiologists, are as follows: to assess the extent of a newly diagnosed lobular carcinoma, to evaluate tumor response to chemotherapy, as a problem solver when clinical or other radiological opinion are in disagreement, to assess for breast implant rupture, and to screen young patients with a high genetic predisposition to breast cancer."
They conducted a retrospective review of all patients undergoing breast MRI at their hospital between January and October 2012. They obtained radiological and histological reports from the hospital intranet.
A total of 150 patients underwent a breast MRI examination. Of these, 46 patients were examined to evaluate a lobular carcinoma, and 36 patients were assessed for possible implant rupture. In 52 patients, the technique was used as a problem solver where there was a discrepancy between radiological findings and clinical evaluation.
In 13 patients, the recommended referral guidelines were not adhered to, according to Hilditch. The most common reason for this was breast MRI was used as a substitute for a tissue biopsy. This tends to happen particularly if a lesion is close to a breast implant, he stated. Two patients had a strong family history, and another patient was receiving neoadjuvant chemotherapy. In three patients, the MRI examination was requested post wide local excision to look for residual disease, and in one case further management was recommended.
In nine cases, multifocal lobular cancer was detected, and in seven of these patients this included occult foci of disease. Two cases of bilateral lobular carcinoma were identified, and in one of these women this was not suspected clinically.

















