
NDLR: Cet article a été publié en anglais le 24 Juin.
BERLIN - Le mariage d'un tomographe par émission de positons et d'appareils d'IRM à ultra-haut champ offre d'infinies possibilités dans le domaine de l'imagerie du cerveau, en apportant aussi les outils pour analyser les mécanismes neuronaux complexes pour améliorer la compréhension par les praticiens des processus des maladies neurologiques, selon une présentation lors du Symposium sur la Résonnance Magnétique Haute Définition.
Les défis à relever sont également très importants, mais les experts en neurologie, au Centre de Recherche Jülich à Jülich en Allemagne, parmi les premiers à installer une camera de tomographie par émission de positons à l'intérieur d'un aimant IRM 9.4-tesla, ont résolu la plupart des difficultés techniques consistant à combiner les deux modalités et sont tout à fait confiants en ce qui concerne l'avenir.
Les obstacles à surmonter
Image T1 MP-RAGE d'une tumeur du cerveau obtenue avec de la F-fluoroethyl-tyrosine (FET) et une image par TEP scanner. Toutes les images sont la propriété de N. Jon Shah, PhD et reproduites avec son accord.
On rencontre des obstacles avec chaque modalité séparément, mais aussi lorsque on les associe, a expliqué lors de la présentation N. Jon Shah, PhD, directeur du Centre de Neurosciences et Médecine à Jülich.
Par exemple, L'IRM à très haut champ magnétique pose des problèmes en ce qui concerne l'homogénéité des signaux, le taux d'absorption spécifique, des difficultés pour le l'ajustement de l'homogénéité du signal, sans oublier le raccourcissement du T2 et du T2* inhérent à l'IRM à très haut champ magnétique. Des problèmes de susceptibilité magnétique sont plus aigus et les coûts d'implantation sont élevés, et par-dessus tout, l'accord des autorités de régulation est un aspect avec lequel il faut compter, ajoute Shah.
"Une fois que vous avez placé l'appareil de TEP à l'intérieur de l'appareil à résonnance magnétique, une des premières choses que vous perdez, c'est votre source radioactive permettant de faire des corrections d'atténuation. Il faut alors pouvoir utiliser l'IRM pour faire cela, notamment si vous souhaitez obtenir des informations quantitatives. De plus, la camera TEP prend de la place dans le statif et on est un peu à l'étroit à l'intérieur".
Shah dit encore qu'il vaut mieux oublier les tubes photomultiplicateurs pour l'appareil de TEP et utiliser des détecteurs à semi-conducteurs. Et comme le diamètre de l'anneau de l'IRM diminue avec l'ajout de la camera de TEP, les espaces entre les détecteurs sont majorés. C'est un véritable défi que de placer un analyseur artériel dans l'anneau, et vous aurez également besoin d'une production de traceur radioactif de PET à proximité.
"L'un des points forts de tomographie par émission de positons est qu'il est souvent considéré comme la référence absolue pour beaucoup de choses par ce que c'est une technique quantitative. Cependant lorsque vous introduisez une camera TEP à l'intérieur d'une machine de résonnance magnétique, c'est l'une des premières choses que vous perdez, et pour retrouver cette technique, il faut pas mal de tâtonnements", dit encore Shah.
Bien sûr, l'appareil d'IRM corps entier de 9.4-tesla (Siemens Healthcare) offre un grand nombre d'avantages, par exemple un meilleur ratio signal-sur-bruit (SNR), ainsi qu'une meilleure résolution du spectre, et un effet BOLD (intensité dépendant de l'oxygénation) pour l'IRM fonctionnelle. Mais la mise en place d'un appareil qui pèse 870 tonnes requiert un certain effort.
Vous devez prendre en compte les artefacts de susceptibilité importants si vous voulez faire de l'imagerie fonctionnelle du cerveau et les artefacts d'ondes en haute fréquence ainsi que les problèmes d'homogénéité à résoudre en ce qui concerne le champ magnétique B1.
Il vous faudra disposer d'une équipe spécialisée pour construire des antennes et d'autres matériels; l'équipe de Jülich a construit une antenne à 8 canaux pour l'imagerie du sodium et une antenne à 16 canaux en émission-réception, toujours selon Shah.
Les avantages
Fort heureusement, les possibilités d'une combinaison hybride dépassent largement les obstacles à surmonter et, disons plutôt qu'ils offrent plus d'intérêt à être exposés, se réjouit Shah.
Tout d'abord, il fait remarquer qu'il est plus facile de recruter des volontaires pour des études sur l'imagerie médicale quand un examen TEP et une IRM peuvent être réalisés en un seul examen. La résonnance magnétique à ultra haut champ offre une résolution spatiale grandement améliorée, particulièrement en ce qui concerne l'imagerie anatomique, un contraste fonctionnel plus important (BOLD), une image de meilleure qualité, et une IRM et une spectroscopie des autres noyaux que le proton.
"Je pense que ces aspects vont représenter des possibilités incroyables pour les IRM à 9.4 tesla". Le progrès au niveau du contraste ne se mesure pas de façon linéaire avec l'augmentation de la puissance du champ mais va bien au-delà. Et la résolution de l'image est améliorée en proportion de 2 fois et demie par rapport à un scanner tesla-1.5.
Pour la tomographie en émission de positons, l'IRM fournit une correction des effets de volume partiel, une correction d'atténuation, et une correction de mouvement via les échos navigateurs, toujours selon Shah.
Et il ajoute, "les belles images anatomiques obtenues avec l'IRM sont automatiquement fusionnées. De cette façon vous faites des mesures simultanées, et il n'est pas difficile d'imaginer que vous finirez par intégrer des séquences d'échos navigateurs pratiquement dans chaque séquence que vous réaliserez avec l'IRM, et que vous utiliserez les données de correction de mouvement avec ces mesures. Certains de mes collègues pensent que les techniques d'échos navigateurs n'auront pas la même précision que la détection de mouvement par technique optique, mais je me permets d'émettre une opinion différente". En fait, une étude à venir va démontrer que la technique par échos navigateurs est supérieure aux techniques optiques.
Le véritable avantage d'avoir accès à une machine hybride, appareil de TEP et appareil à résonnance magnétique à 9.4 Tesla est que vous pouvez faire de l'imagerie métabolique d'une façon extrêmement précise. Le traceur à utiliser en tomographie sera le 18 FDG.
Pendant la durée de l'examen, on peut donner au patient de l'oxygène-17 à inhaler et une spectroscopie du P31 en résonnance magnétique peut être faite pour étudier l'adénosine triphosphate (ATP), et enfin, l'ensemble de l'examen peut être fusionné dans une imagerie anatomique ordinaire afin d'attribuer à une région du cerveau les données recueillies. Ces outils représentent tout ce dont vous avez besoin pour faire une exploration fiable du métabolisme du cerveau, d'après Shah.
De nouveaux paradigmes de la fonction de cerveau sont prêts à être explorés grâce à ces nouveaux outils. Le processus rencontre des difficultés dans la mesure où le temps qu'il faut à l'appareil de TEP pour faire des calculs est supérieure à celui que prend l'IRM. Les chercheurs doivent réfléchir à toutes ces possibilités offertes par les systèmes, et proposer des pistes de recherche.
Une puissante association
Alors que l'IRM a une résolution spatiale et temporelle importante, sa spécificité est plutôt faible, et ce n'est pas non plus la référence absolue en ce qui concerne l'imagerie moléculaire, deux aspects pour lesquels l'ajout d'un appareil de TEP peut s'avérer utile. "Sa spécificité, basée sur le fait que vous pouvez choisir quel traceur vous allez utiliser, est excellente".
Au niveau moléculaire, la neurotransmission est pilotée par des neurotransmetteurs ou des récepteurs ou modulée par des médicaments, le domaine de la TEP. A l'inverse, l'IRM s'adresse au niveau systémique, décrivant des fonctions complexes du cerveau et fournissant la localisation comme l'analyse de mécanismes complexes en IRM fonctionnelle.
L'un des grands avantages de l'IRM à ultra haut champ est la richesse du contraste qui aura un impact significatif sur ce que vous pourrez faire. Vous n'êtes pas obligé de faire de l'imagerie de phase, vous pouvez vous contenter d'observer les images de magnitude.
L'image des noyaux gris centraux obtenue à 3 tesla (ci-dessus) est loin de la qualité de l'image obtenue à 9.4 tesla (ci-dessous).
Si vous obtenez les images avec un rapport signal sur bruit élevé, vous pouvez choisir d'utiliser des filtres sélectifs pour avoir des informations plus spécifiques.
Lors d'une excitation sélective (IRM ciblée), l'excitation par radio fréquence d'une zone d'intérêt spécifique, peut produire une résolution très élevée de certaines parties du cerveau, comme l'hippocampe, sans nécessiter d'acquérir le volume entier.
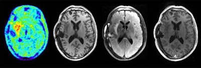
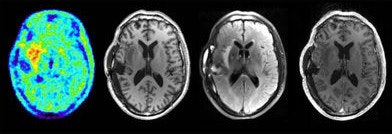
Dans l'étude de l'image d'une tumeur du cerveau, l'utilisation d'un appareil hybride avec du F-fluoroethyl-tyrosene et un IRM à ultra haut champ, a non seulement montré les limites précises de la tumeur, mais a montré aussi comment elle affecte les régions environnantes du cerveau.
Images du cerveau obtenue par IRM pendant une acquisition TEP: TEP FET, T1, T2 combiné, et T1 après injection de contraste.A l'aide de l'IRM à ultra haut champ et l'imagerie TEP du cerveau "le positon vole dans le champ magnétique, et ses mouvements vont être limités à deux directions, et nous devrions améliorer la résolution de la TEP sans aucun coût supplémentaire".
















