Subspecialties: Page 58
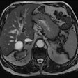
More than a third of pancreatic cancers may be missed on CT, MRI
October 12, 2022
Using humor can improve the radiologist-patient relationship
October 12, 2022
PET/CT proves value in highlighting musculoskeletal involvement
October 11, 2022
NEJM: Colon cancer screening reduces mortality rates
October 11, 2022
Telix highlights EANM presentations
October 10, 2022
How common is missed diagnosis in pancreatic cancer?
October 10, 2022











