Subspecialties: Page 250
Harry Potter's not the only injured quidditch player
June 20, 2017
DiACardio changes name
June 19, 2017
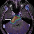
German team wins SNMMI Image of the Year award
June 18, 2017
Optellum unveils lung cancer analysis software
June 15, 2017
U.K. releases DRLs for hybrid imaging
June 15, 2017
Elekta points to study of older lung cancer patients
June 14, 2017
Philips relaunches Pioneer Plus IVUS catheter
June 14, 2017
Nikulin scoops valuable breast cancer prize
June 13, 2017





