Dear Molecular Imaging Insider,
No cure exists for gliomas, but surgery, chemotherapy, radiotherapy, and supportive treatment can improve patients' quality of life and extend survival. Accurate diagnosis is essential, and that's where PET often comes into its own.
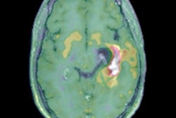
A new two-center French study has shown the high accuracy of F-18 fluorodopa PET for differentiating recurrent malignant gliomas from treatment-related changes. It has also underlined the importance of the dynamic slope as a potential diagnostic and prognostic biomarker in isocitrate dehydrogenase gliomas. Find out more in today's top article.
Meanwhile, FDG-PET/CT is developing an important role in breast cancer, particularly in distant disease staging and treatment response assessment. The leading Austrian researcher Dr. Katja Pinker-Domenig gave an impressive talk on this subject at a European hybrid imaging event held on 11 November. Don't miss our news report.
At the same meeting, translational imaging expert Prof. Irène Buvat from Paris outlined how artificial intelligence in hybrid imaging can boost image quality and analysis and prediction. Significantly, she also emphasized the need to remain cautious about algorithms because they are not always reliable in clinical practice.
Swiss researchers have been keeping busy too. Recently, a Basel-led group reported that F-18 FDG-PET/CT imaging is a better choice than ultrasound for detecting both lymph node and abdominal metastases in patients with malignant melanoma.
In other news, German investigators are convinced that a molecular microscopy technique can help scientists develop therapies to inhibit cancer growth and spread by affecting the tumor and its interaction with the immune system. This can help to provide a more complete picture of how therapies work and any possible side effects, they say.
In this letter, we've included information about some of the many articles posted in the Molecular Imaging Community over the past couple of weeks. Please take a close look at the full list below, and contact me when you have ideas for future coverage.




















