Subspecialties: Page 258
International agenda set for German national congress
March 21, 2017
EANM, IAEA partner on imaging education
March 21, 2017
Worldwide SPECT market expected to top $1.5B by 2021
March 20, 2017
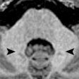
MRI spots HIV in the brain
March 13, 2017
Dutch scoop top ECR prize for breast MRI work
March 13, 2017
FDG-PET/CT can direct biopsies for pediatric cancer
March 8, 2017




