ECR 2024: Page 2
Additional Coverage
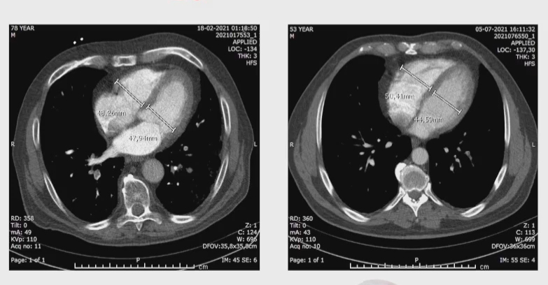
More anatomical changes seen on angio-CT in COVID patients
February 29, 2024
GE HealthCare features new ultrasound, MRI offerings at ECR 2024
February 29, 2024
Carlo Catalano urges rest of Europe to decriminalize medical errors
February 29, 2024











