Clinical News: Page 1149
Nuance installs eScription in U.K.
April 26, 2010
SuperSonic touts breast ultrasound trial
April 26, 2010
Biospace touts EOS comparison to CR
April 26, 2010
Sectra lands 1st SyMRI software order
April 25, 2010
Study questions value of pricey heart screening
April 25, 2010
GE targets ultrasound energy reduction
April 25, 2010
MeVis notches positive 2009 numbers
April 25, 2010
Accuray nets CyberKnife reimbursement
April 25, 2010
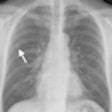
Pediatric CT dose is low but varies widely in Belgium
April 22, 2010
Coronary disease common in antiphospholipid syndrome
April 21, 2010


