Womens Imaging: Page 10
DRG celebrates three years of diversity scheme
February 5, 2024
What radiologists really need to know about breast AI
February 1, 2024
Elastography tracks stiffness changes in breast implants
January 29, 2024
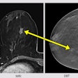
Conebeam CT shows superiority over mammography
January 12, 2024
3D elastography performs well in automated breast volume scanning
December 21, 2023
Clinical support builds for DBT-guided breast biopsies
December 20, 2023
Get to know essential radiological signs in breast imaging
December 19, 2023
Lunit bids for Volpara Health
December 14, 2023
AI predicts malignancy on breast ultrasound
December 14, 2023
CEM shows value as surveillance imaging tool
December 13, 2023












